- มะเร็งเม็ดเลือดขาวมีอยู่หลายชนิด โดยหลักๆ แบ่งเป็น <
- * ชื่อภาษาไทย <
- * ชื่อภาษาอังกฤษ <
- มะเร็งเม็ดเลือดขาวมีอยู่หลายชนิด โดยหลักๆ แบ่งเป็น <
- * ชื่อภาษาไทย <
- * ชื่อภาษาอังกฤษ <
- * สาเหตุ <
- * อาการ<
- * การแยกโรค<
- * การวินิจฉัย<
- * การดูแลตนเอง<
- * การรักษา<
- * ภาวะแทรกซ้อน<
- * การดำเนินโรค<
- * การป้องกัน<
- * ความชุก<
มีเพื่อนสนิทคนหนึ่งออกกำลังทุกวัน สุขภาพแข็งแรงดีมาตลอด อยู่ๆ มีเลือดกำเดาไหล ห้ามเท่าไรก็ไม่หยุด ไหลอยู่ครึ่งค่อนวัน แพทย์ตรวจเลือดพบว่า มีปริมาณเม็ดเลือดขาวจำนวนมากกว่าปกตินับ 10 เท่า วินิจฉัยว่าเป็นมะเร็งเม็ดเลือดขาว
มะเร็งเม็ดเลือดขาว เป็นมะเร็งที่เกิดจากเซลล์เม็ดเลือดขาวตัวอ่อนในไขกระดูกมีการเจริญแบ่งตัวเร็วกว่าปกติ และกลายเป็นเซลล์ผิดปกติ ไม่สามารถเจริญเป็นเม็ดเลือดขาวตัวแก่ที่ทำหน้าที่ปกติได้ นอกจากนี้มันยังแก่ตัวและตายช้ากว่าปกติ สามารถแพร่กระจายแทรกซึมไปอยู่ตามอวัยวะต่างๆ เช่น ต่อมน้ำเหลือง ตับ ม้าม กระดูก สมอง อัณฑะ ผิวหนัง รวมทั้งแทรกซึมในไขกระดูก ทำลายการสร้างเม็ดเลือดแดง เม็ดเลือดขาว และเกล็ดเลือดในไขกระดูก ก่อให้เกิดอาการและภาวะแทรกซ้อนต่างๆ จนเป็นอันตรายถึงเสียชีวิตได้
มะเร็งเม็ดเลือดขาวมีอยู่หลายชนิด โดยหลักๆ แบ่งเป็น
* ชนิดเฉียบพลัน (ซึ่งเกิดจากเซลล์ตัวอ่อน มีอาการเกิดขึ้นฉับพลัน ลุกลามรวดเร็วและรุนแรง) ได้แก่ เอแอลแอล (ALL หรือ acute lymphoblastic leukemia) และ เอเอ็มแอล (AML หรือ acute myeloblastic leukemia)
* ชนิดเรื้อรัง (ซึ่งเกิดจากเม็ดเลือดขาวที่เริ่มเป็นตัวแก่ ลุกลามช้าและมีอาการแบบค่อยเป็นค่อยไป) ได้แก่ ซีแอลแอล (CLL หรือ chronic lymphocytic leukemia) และซีเอ็มแอล (CML หรือ chronic myelocytic leukemia)
* ชื่อภาษาไทย
มะเร็งเม็ดเลือดขาว ลิวคีเมีย
* ชื่อภาษาอังกฤษ
Leukemia
มีเพื่อนสนิทคนหนึ่งออกกำลังทุกวัน สุขภาพแข็งแรงดีมาตลอด อยู่ๆ มีเลือดกำเดาไหล ห้ามเท่าไรก็ไม่หยุด ไหลอยู่ครึ่งค่อนวัน แพทย์ตรวจเลือดพบว่า มีปริมาณเม็ดเลือดขาวจำนวนมากกว่าปกตินับ 10 เท่า วินิจฉัยว่าเป็นมะเร็งเม็ดเลือดขาว
มะเร็งเม็ดเลือดขาว เป็นมะเร็งที่เกิดจากเซลล์เม็ดเลือดขาวตัวอ่อนในไขกระดูกมีการเจริญแบ่งตัวเร็วกว่าปกติ และกลายเป็นเซลล์ผิดปกติ ไม่สามารถเจริญเป็นเม็ดเลือดขาวตัวแก่ที่ทำหน้าที่ปกติได้ นอกจากนี้มันยังแก่ตัวและตายช้ากว่าปกติ สามารถแพร่กระจายแทรกซึมไปอยู่ตามอวัยวะต่างๆ เช่น ต่อมน้ำเหลือง ตับ ม้าม กระดูก สมอง อัณฑะ ผิวหนัง รวมทั้งแทรกซึมในไขกระดูก ทำลายการสร้างเม็ดเลือดแดง เม็ดเลือดขาว และเกล็ดเลือดในไขกระดูก ก่อให้เกิดอาการและภาวะแทรกซ้อนต่างๆ จนเป็นอันตรายถึงเสียชีวิตได้
มะเร็งเม็ดเลือดขาวมีอยู่หลายชนิด โดยหลักๆ แบ่งเป็น
* ชนิดเฉียบพลัน (ซึ่งเกิดจากเซลล์ตัวอ่อน มีอาการเกิดขึ้นฉับพลัน ลุกลามรวดเร็วและรุนแรง) ได้แก่ เอแอลแอล (ALL หรือ acute lymphoblastic leukemia) และ เอเอ็มแอล (AML หรือ acute myeloblastic leukemia)
* ชนิดเรื้อรัง (ซึ่งเกิดจากเม็ดเลือดขาวที่เริ่มเป็นตัวแก่ ลุกลามช้าและมีอาการแบบค่อยเป็นค่อยไป) ได้แก่ ซีแอลแอล (CLL หรือ chronic lymphocytic leukemia) และซีเอ็มแอล (CML หรือ chronic myelocytic leukemia)
* ชื่อภาษาไทย
มะเร็งเม็ดเลือดขาว ลิวคีเมีย
* ชื่อภาษาอังกฤษ
Leukemia
* สาเหตุ
ส่วนใหญ่ยังไม่ทราบสาเหตุแน่ชัด เชื่อว่ามีปัจจัยทางพันธุกรรมที่ผิดปกติ ร่วมกับปัจจัยด้านสิ่งแวดล้อม ผู้ป่วยส่วนหนึ่งพบว่ามีปัจจัยที่ทำให้เกิดโรคนี้ที่สำคัญ เช่น
* การมีพันธุกรรมที่ผิดปกติ เช่น พบว่าผู้ที่เป็นกลุ่มอาการดาวน์ (Down's syndrome ซึ่งเป็นโรคปัญญาอ่อนชนิดหนึ่ง) มีความเสี่ยงต่อการเกิดมะเร็งเม็ดเลือดขาวชนิดเฉียบพลัน (ทั้งเอแอลแอล และเอเอ็มแอล) มากกว่าคนปกติทั่วไป
ผู้ที่เป็นมะเร็งเม็ดเลือดขาวเรื้อรัง ชนิดซีเอ็มแอล พบว่ามีโครโมโซมผิดปกติ
หรือผู้ที่มีญาติสายตรงเป็นมะเร็งเม็ดเลือดขาวเฉียบพลัน ชนิดเอแอลแอล ก็เสี่ยงต่อการเป็นมะเร็งชนิดนี้
* ผู้ที่มีประวัติได้รับรังสีบำบัดหรือเคมีบำบัดในการรักษามะเร็งชนิดอื่นมาก่อน บางรายก็อาจพบว่าเป็นมะเร็งเม็ดเลือดขาวในเวลาหลายปีต่อมา
* ผู้ที่มีประวัติสัมผัสรังสีนิวเคลียร์ (เช่น ผู้ที่รอดชีวิตจากระเบิดปรมาณู หรืออุบัติเหตุจากโรงไฟฟ้านิวเคลียร์) หรือสารเบนซิน ก็พบว่ามีความเสี่ยงต่อการเกิดมะเร็งเม็ดเลือดขาวสูงกว่าคนทั่วไป
* การติดเชื้อไวรัสเอชทีแอลวี-1 (HTLV-1) พบว่ามีความสัมพันธ์กับการเกิดมะเร็งเม็ดเลือดขาวชนิด adult T-cell leukemia และมะเร็งต่อมน้ำเหลือง
* อาการ
* มะเร็งเม็ดเลือดขาวชนิดเฉียบพลัน (ALL และ AML) มักมีอาการเกิดขึ้นฉับพลันด้วยอาการไข้ ซีด หรือมีจ้ำเขียวพรายย้ำขึ้นตามตัวหรือมีเลือดออกตามที่ต่างๆ เช่น เลือดกำเดาไหล เลือดออกตามไรฟัน ประจำเดือนออกมากผิดปกติ ถ่ายเป็นเลือด
บางรายอาจมีอาการไข้ ปวดเมื่อย คล้ายไข้หวัดใหญ่ อ่อนเพลีย น้ำหนักลด อาจเป็นไข้เรื้อรังเป็นแรมเดือน หรืออาการหนาวสั่น มีแผลเปื่อยในปาก ทอนซิลอักเสบ หรือปอดอักเสบเนื่องจากภูมิคุ้มกันต่ำ
อาจมาพบแพทย์ด้วยอาการมีจ้ำเขียวตามตัว หรือมีเลือดกำเดาไหลซึ่งหยุดยาก เนื่องจากเกล็ดเลือดต่ำ
ในระยะต่อมามักมีอาการซีด อ่อนเพลีย เหนื่อยง่าย อาจมีอาการทางสมอง (เช่น ปวดศีรษะ เวียนศีรษะ อาเจียน ชัก ตามัว) อาการแน่นท้อง ปวดท้อง เนื่องจากตับโต ม้ามโต
บางรายอาจมีอาการเฉพาะที่ เช่น ปวดกระดูกและข้อ ตาโปน เหงือกบวม เป็นต้น
* มะเร็งเม็ดเลือดขาวชนิดเรื้อรัง (CLL และ CML) ในระยะแรก ส่วนใหญ่จะไม่มีอาการ ซึ่งอาจเป็นอยู่นานเป็นแรมปีและมักจะตรวจเช็กเลือดพบว่าเป็นโรคนี้โดยบังเอิญ
ในรายที่มีอาการ (ซึ่งมักเป็นโรคในระยะหลังๆ แล้ว) จะมีอาการอ่อนเพลีย เหนื่อยง่าย เบื่ออาหาร น้ำหนักลด มีไข้ เหงื่อออกตอนกลางคืน รู้สึกแน่นท้องเนื่องจากม้ามโต
ต่อมาจะมีอาการซีด มีจ้ำเขียวตามตัวหรือเลือดออกง่าย ปวดกระดูกและข้อแบบเดียวกับผู้ป่วยมะเร็งเม็ดเลือดขาวชนิดเฉียบพลัน
ในระยะท้าย มักมีโรคติดเชื้อง่าย อาจเกิดจากไวรัส (ที่พบบ่อยคืองูสวัด) แบคทีเรีย (เช่น สูโดโมแนส เคลบซิลลา) หรือเชื้อรา (เช่น แคนดิดา แอสเปอร์จิลลัส) ก็ได้
* การแยกโรค
* อาการเป็นไข้ ซีด และจ้ำเขียวตามตัว อาจเกิดจากสาเหตุอื่นๆ เช่น โลหิตจางจากภาวะไขกระดูกฝ่อ (aplastic anemia) ภาวะโลหิตเป็นพิษ (septicemia) ไข้เลือดออก เป็นต้น
* อาการมีจุดแดง จ้ำเขียว หรือเลือดออกตามที่ต่างๆ (เช่น เลือดกำเดาไหล เลือดออกตามไรฟัน ถ่ายเป็นเลือด) อาจเกิดจากสาเหตุอื่นๆ เช่น ภาวะเกล็ดเลือดต่ำ โรคฮีโมฟิเลีย (โรคเลือดออกง่ายชนิดหนึ่งที่สามารถถ่ายทอดทางพันธุกรรม) การกินยาต้านเกล็ดเลือด (เช่น แอสไพริน ซึ่งนิยมใช้ในผู้ป่วยเบาหวาน โรคหลอดเลือดหัวใจตีบ อัมพาตครึ่งซีก)
* อาการต่อมน้ำเหลืองโต (มีก้อนบวมที่บริเวณคอ รักแร้ ขาหนีบ) ซึ่งอาจตรวจพบในผู้ป่วยมะเร็งเม็ดเลือดขาวเฉียบพลัน อาจเกิดจากมะเร็งชนิดอื่นๆ (เช่น มะเร็งช่องคอ มะเร็งต่อมน้ำเหลือง)
* การวินิจฉัย
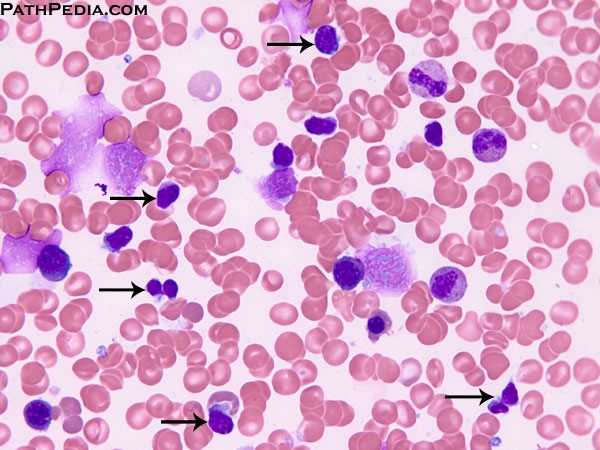
แพทย์จะวินิจฉัยเบื้องต้นจากอาการแสดง ได้แก่ อาการไข้เรื้อรัง (นานเกิน 1 สัปดาห์) ซีด จ้ำเขียวตามตัว เลือดออกตามที่ต่างๆ ต่อมน้ำเหลืองโตหลายแห่ง ตับโต ม้ามโต ซึ่งจะทำการตรวจยืนยันการวินิจฉัยโดยการตรวจเลือด พบมีเม็ดเลือดขาวปริมาณมากกว่าปกติ (ปกติจะมี 5,000 - 10,000 ตัว/ลบ.มม. โรคนี้จะพบเม็ดเลือดขาวหลายหมื่นถึงหลายแสนตัวต่อเลือด 1 ลบ.มม. และพบเป็นเซลล์ตัวอ่อนจำนวนมากกว่าปกติ) และอาจพบจำนวนเม็ดเลือดแดง และเกล็ดเลือดต่ำกว่าปกติ
การตรวจไขกระดูกจะพบเซลล์ตัวอ่อนจำนวนมาก
* การดูแลตนเอง
หากมีอาการที่น่าสงสัย เช่น ไข้นานเป็นสัปดาห์ๆ ซีด จุดแดงจ้ำเขียวตามตัว เลือดออกผิดปกติ (เช่น เลือดกำเดาไหลหยุดยาก เลือดออกตามไรฟัน ถ่ายเป็นเลือด) คลำได้ก้อนบวมที่บริเวณคอ รักแร้ หรือขาหนีบ เป็นต้น ก็ควรรีบไปปรึกษาแพทย์
หากพบว่าเป็นมะเร็งเม็ดเลือดขาว ก็ควรติดตามรักษากับแพทย์อย่างจริงจังและต่อเนื่อง โดยเฉพาะอย่างยิ่ง ต้องอดทนต่อผลข้างเคียงของการบำบัดรักษา (เช่น ผมร่วง คลื่นไส้อาเจียน เบื่ออาหาร) ที่อาจเกิดขึ้น ซึ่งมักเป็นเพียงชั่วคราว
อย่าทิ้งการรักษาของทางโรงพยาบาลโดยพลการ หรือหันไปใช้วิธีการรักษาทาง
* การรักษา
นอกจากให้การรักษาตามอาการและแก้ไขภาวะแทรกซ้อน (เช่น ให้เลือด รักษาโรคติดเชื้อด้วยยาปฏิชีวนะหรือยาต้านจุลชีพ) แล้ว แพทย์ผู้เชี่ยวชาญทางโรคเลือด (โลหิตวิทยา) และโรคมะเร็ง จะให้การรักษาด้วยเคมีบำบัด (ยารักษามะเร็ง) ซึ่งมีอยู่หลายกลุ่ม หลายชนิด ซึ่งแพทย์จะเลือกใช้ตามความเหมาะสมกับชนิดและความรุนแรงของโรค โดยมากจะใช้ร่วมกันอย่างน้อย 2 กลุ่มขึ้นไป
นอกจากนี้ยังมีการใช้ยาอื่นร่วมกับเคมีบำบัด เช่น สารต้านภูมิต้านทาน monoclonal antibody ยากระตุ้นการสร้างเม็ดเลือดขาวและเม็ดเลือดแดง ยาสตีรอยด์ (เพร็ดนิโซโลน) สารอินเตอร์เฟอรอน (interferon) เป็นต้น
บางรายที่มีก้อนบวมมาก (เช่น ต่อมน้ำเหลืองโต ตับโต ม้ามโต ก้อนนิ่วอัณฑะ) ซึ่งเกิดจากเซลล์มะเร็งเข้าไปสะสม อาจจำเป็นต้องทำการฉายรังสี (รังสีบำบัด) ร่วมด้วย
บางรายแพทย์อาจทำการปลูกถ่ายไขกระดูกหรือเซลล์ต้นกำเนิด (stem cell) โดยเฉพาะอย่างยิ่งในรายที่มีอาการกำเริบ หลังจากโรคสงบไประยะหนึ่งหลังให้เคมีบำบัด
* ภาวะแทรกซ้อน
ภาวะแทรกซ้อนที่พบบ่อย ได้แก่ การตกเลือด และการติดเชื้อรุนแรง ที่เป็นอันตรายร้ายแรงถึงเสียชีวิตได้ก็คือ เลือดออกในสมอง และภาวะโลหิตเป็นพิษ
ในรายที่เป็นมะเร็งเม็ดเลือดขาวเฉียบพลัน ชนิดเอเอ็มแอล อาจเกิดภาวะเลือดจับเป็นลิ่มทั่วร่างกาย (disseminated intravascular coagulation หรือ DIC) เป็นอันตรายร้ายแรงได้
ในรายที่เป็นมะเร็งเม็ดเลือดขาวเฉียบพลัน ชนิดเอแอลแอล อาจมีต่อมไทมัสโตกดท่อลม (ทำให้หายใจลำบาก) หรือท่อเลือดดำส่วนบน (superior vena cava) ทำให้คอและแขนบวม
ในรายที่เป็นมะเร็งเม็ดเลือดขาวเรื้อรังชนิด ซีแอลแอล อาจกลายเป็นมะเร็งต่อมน้ำเหลืองชนิดร้ายแรง หรือมีโรคมะเร็งปอด หรือผิวหนังเกิดตามมาได้
* การดำเนินโรค
หากไม่ได้รับการรักษา ก็มักเกิดภาวะแทรกซ้อนร้ายแรง ทำให้เสียชีวิตได้
ส่วนผู้ป่วยที่ได้รับการรักษา ผลการรักษาขึ้นอยู่กับชนิดของมะเร็ง ระยะของโรค และสภาพของผู้ป่วย ดังนี้
* สำหรับผู้ป่วยที่เป็นมะเร็งเม็ดเลือดขาวเฉียบพลัน ชนิดเอแอลแอล (ALL) หากไม่ได้รับการรักษามักเสียชีวิตภายใน 4 เดือน การให้เคมีบำบัดสามารถทำลายเซลล์มะเร็งจนโรคสงบได้เป็นส่วนใหญ่ การรักษาอย่างต่อเนื่องช่วยให้ร้อยละ 80 ของเด็กที่ป่วยและร้อยละ 30-40 ของผู้ใหญ่ที่ป่วยหายจากโรคได้
ในรายที่มีการกำเริบของโรค แพทย์จำเป็นต้องให้เคมีบำบัด รังสีบำบัด และอาจต้องทำการปลูกถ่ายไขกระดูกหรือเซลล์ต้นกำเนิด
* สำหรับผู้ป่วยที่เป็นมะเร็งเม็ดเลือดขาวเฉียบพลัน ชนิดเอเอ็มแอล (AML) หากไม่ได้รับการรักษามักเสียชีวิตภายในไม่กี่สัปดาห์ถึงไม่กี่เดือน การรักษาสามารถทำให้โรคสงบถึงร้อยละ 70-80 ของผู้ป่วยที่มีอายุต่ำกว่า 60 ปี ส่วนผู้ที่มีอายุมากกว่า 65 ปี หรือเป็นโรคนี้หลังจากได้รับเคมีบำบัดหรือรังสีบำบัดในการรักษามะเร็งอื่นๆ มาก่อน ผลการรักษามักจะไม่สู้ดี
* สำหรับผู้ป่วยที่เป็นมะเร็งเม็ดเลือดขาวเรื้อรัง ชนิดซีแอลแอล (CLL) ถ้าตรวจพบและได้รับการรักษาในระยะแรกเริ่มของโรคก็มักจะมีชีวิตอยู่ได้นานเกิน 10-20 ปี โดยผู้ป่วยสามารถทำงานและเรียนหนังสือได้ตามปกติ แต่ถ้าพบในระยะท้ายก็อาจมีชีวิตอยู่ได้นาน 3-4 ปี
* สำหรับผู้ป่วยที่เป็นมะเร็งเม็ดเลือดขาวเรื้อรัง ชนิดซีเอ็มแอล (CML) ร้อยละ 50 มีชีวิตอยู่ได้นานเกิน 4-5 ปี ประมาณร้อยละ 20 เสียชีวิตภายใน 2 ปี ส่วนผู้ที่ได้รับการปลูกถ่ายไขกระดูกหรือเซลล์ต้นกำเนิด สามารถหายจากโรคได้ถึงร้อยละ 60
* การป้องกัน
ยังไม่มีวิธีป้องกันโรคนี้ เนื่องจากส่วนใหญ่เกิดขึ้นโดยไม่ทราบสาเหตุ
ข้อสำคัญ เมื่อมีอาการน่าสงสัยก็ควรรีบไปตรวจรักษากับแพทย์อย่างจริงจังและต่อเนื่อง เพื่อป้องกันภาวะแทรกซ้อน
* ความชุก
โรคนี้พบได้ในคนทุกวัย แต่อาการในเด็กหรือผู้ใหญ่แตกต่างกัน ดังนี้
* มะเร็งเม็ดเลือดขาวเฉียบพลัน ชนิดเอแอลแอล (ALL) พบมากในเด็กอายุ 2-5 ขวบ (พบได้ถึงร้อยละ 80 ของมะเร็งเม็ดเลือดขาวในเด็ก) และอาจพบในผู้ใหญ่โดยเฉพาะอย่างยิ่งอายุมากกว่า 65 ปี
* มะเร็งเม็ดเลือดขาวเฉียบพลัน ชนิดเอเอ็มแอล (AML) เป็นชนิดที่พบได้มากที่สุด และพบในผู้ใหญ่มากกว่าเด็ก
* มะเร็งเม็ดเลือดขาวเรื้อรัง ชนิดซีแอลแอล (CLL) พบบ่อยในผู้ใหญ่ และมีความชุกของโรคมากขึ้นตามอายุ พบมากในกลุ่มอายุมากกว่า 60 ปี
* มะเร็งเม็ดเลือดขาวเรื้อรัง ชนิดซีเอ็มแอล (CML) เป็นชนิดที่พบได้น้อย พบบ่อยในผู้ใหญ่อายุ 30-40 ปี พบได้น้อยในเด็กอายุต่ำกว่า 10 ขวบ