สิวในเวชปฏิบัติ (Acne in Clinical Practice) ตอนที่ 4
โรคสิววิสามัญ (Uncommon acne)
เรื่องของโรคสิวที่กล่าวไปในตอนที่ 1-3 เป็นโรคสิวที่พบบ่อย เรียกว่า โรคสิวสามัญ (acne vulgaris) แต่ยังมีโรคสิวบางชนิดเกิดจากสาเหตุเฉพาะ จึงมีลักษณะที่แตกต่างไปจากโรคสิวที่พบประจำ เรียกว่า โรคสิววิสามัญ (uncommon acne) เช่น สิวแกะเกา, สิวเสียดสี, สิวจากเครื่องสำอาง, สิวจากยา, สิวในทารกและในเด็ก, สิวจากเชื้อเกลื้อน, สิวหน้าแดง, สิวเรื้อรังที่รักแร้, สิวจากงานอาชีพ, สิวที่รุนแรง และรอยโรคที่คล้ายสิว ดังมีรายละเอียดดังนี้
1. สิวแกะเกา (acne excoriee)
เรียกเป็นภาษาอังกฤษว่า acne excorie หมายถึง สิวที่ถูกแกะเกา หรือบีบ โดยทั่วไปผู้ที่เป็นสิวมักบีบและแกะสิวบ้างอยู่แล้ว ซึ่งไม่แนะนำให้ทำเพราะทำให้สิวอักเสบกำเริบ มีการติดเชื้อแบคทีเรียแทรกซ้อนและเกิดรอยแผลเป็น. ผู้ป่วยบางรายจะบีบและแกะสิวอย่างมากจนเมื่อตรวจดูผิวหนังแล้วไม่พบรอยโรคของสิวทั้งสิวอักเสบและสิวอุดตัน พบแต่รอยถลอก แผล และแผลเป็น (ภาพที่ 1) เรียกการตรวจพบแบบนี้ว่า acne excorie. รอยโรคชนิดนี้พบในเพศหญิงมากกว่าเพศชาย อาจเป็นอาการแสดงของความเครียด. บางครั้งเป็นการติดนิสัยบีบแกะสิวที่เลิกได้ยาก ทั้งๆที่รอยโรคเดิมอาจไม่รุนแรงนัก รอยโรคชนิดนี้มักทำให้ผู้ป่วยวิตกกังวลและอับอาย. การรักษาสิวชนิดนี้ให้รักษาตามความรุนแรงของรอยโรคเดิม แต่อาจต้องให้ aggressive treatment พบว่ายา isotreti noin ชนิดกินมีประสิทธิภาพดีในการรักษารอยโรคชนิดนี้. บางครั้งอาจจำเป็นต้องแนะนำให้ผู้ป่วยพบจิตแพทย์ด้วย ซึ่งอาจจำเป็นที่ต้องให้ยาต้านซึมเศร้า.
2. สิวเสียดสี (acne mechanica)
เป็นโรคสิวที่เกิดจากหรือถูกกระตุ้นให้กำเริบโดยความร้อน, เครื่องนุ่งห่ม, แรงกด และแรงเสียดทานต่อผิวหนัง. สาเหตุของสิวชนิดนี้มีหลายอย่าง บางครั้งเกี่ยวข้องกับกีฬา เช่น หมวกที่ใช้ในนักกีฬา (ภาพที่ 2) เสื้อผ้าชุดกีฬาที่รัดรูปและทำด้วยใยสงเคราะห์ สายรัดผม ที่หนุนไหล่ สายรัดกระเป๋าสะพายหลัง สายยกทรง ที่รองคางไวโอลิน เทปที่ปิดผิวหนังไว้นานหลายวัน กางเกงยีนส์ที่คับ พบบ่อยในคนที่ขี่รถจักรยานยนต์ และยังพบว่าการออกกำลังกาย เช่น เล่นเครื่องนอนยกน้ำหนัก อาจทำให้ผิวหนังบริเวณที่สัมผัสเสียดสีกับพื้นหรือเบาะมีสิวกำเริบขึ้นได้ โดยเฉพาะหากมีผิวค่อนข้างมันอยู่แล้ว การสัมผัสเสียดสีผิวหนังและเหงื่อไคลที่หลั่งเวลาออกกำลังกายจะกระตุ้นให้เกิดสิวหัวหนองและสิวอักเสบบวมแดงได้. วิธีการที่จะลดหรือป้องกันการเกิดสิวจากการสัมผัสเสียดสีแบบนี้คือ สวมใส่ชุดออกกำลังกายที่เป็นเนื้อผ้านุ่มเนียน ออกกำลังกายบนพื้นที่เรียบ (เพื่อลดแรงเสียดทาน) และอาบน้ำทำความสะอาดร่างกายเมื่อออกกำลังกายเสร็จแล้ว. นอกจากพบสิวได้บ่อยทั่วบริเวณหลังและผิวหนังส่วนที่สัมผัสเสียดสีมากๆแล้ว ยังพบว่าหลายๆ คนมีสิวอักเสบขึ้นที่ก้น ซึ่งเกิดจากการสัมผัสเสียดสี เหงื่อที่หมักหมมและเชื้อแบคทีเรียที่อาศัยอยู่ตามผิวหนังบริเวณนี้ พบได้บ่อยในผู้ที่วิ่งจ๊อกกิ้ง เล่นเทนนิส ใส่ supporters รัดเวลาเล่นกีฬา ใส่เครื่องรัดหน้าท้อง สวมเสื้อผ้าที่หนาและหยาบ และชุดกีฬาหรือชุดว่ายน้ำที่เปียกชื้น. การป้องกันสิวที่ก้นนี้ ควรเลือกเสื้อผ้าชุดกีฬาและชุดชั้นในที่เรียบบาง ทำด้วยผ้าฝ้าย รักษาความสะอาด ควรอาบน้ำเช็ดตัวให้แห้ง แล้วสวมเสื้อผ้าที่สะอาด ไม่สวมใส่กางเกงว่ายน้ำที่ชื้นและทิ้งไว้นานๆ หลังขึ้นจากน้ำ.
ปัจจัยที่ทำให้เกิดสิวเสียดสีได้ง่ายขึ้น คือ
1. มีสิวเม็ดละเอียดคล้ายกระดาษทราย (sandpaper acne) อยู่ก่อน. สิวเม็ดละเอียดนี้เป็นสิวอุดตันขนาดเล็กมากที่มองแทบไม่เห็นด้วยตาเปล่า (microcomedones) แต่ถ้าใช้มือลูบจะรู้สึกหยาบ คล้ายลูบกระดาษทราย. สิวชนิดนี้เมื่อถูกกระตุ้นจะกำเริบเป็นสิวอักเสบที่พบได้ในสิวเสียดสี.
2. มีแนวโน้มที่จะเป็นสิวที่ตำแหน่งที่ไม่ใช่ใบหน้า และพบว่าวัยรุ่นและผู้ใหญ่อายุ 20-30 ปีที่มักเป็นสิวที่ไหล่, หลัง และก้น มีโอกาสเสี่ยงต่อการเกิดสิวเสียดสีมากขึ้นเมื่อมีปัจจัยกระตุ้น เช่น การเสียดสี.
3. เป็นทหารในเขตร้อน พบว่าความร้อนและความชื้นในเขตร้อนกระตุ้นให้เกิดสิวเสียดสีในทหาร เมื่อร่วมกับการสัมผัสเสียดสีจากสายอาวุธและการแบกสัมภาระ.
การป้องกันการเกิดสิวเสียดสี คือ
1. ควรสวมเสื้อยืดผ้าฝ้ายคอกลมที่สะอาดก่อนสวมเครื่องแบบหรือชุดกีฬา เพราะผ้าฝ้ายดูดซับเหงื่อได้ดีและลดการสัมผัสเสียดสี. .
2. หลังเล่นกีฬาเสร็จ ต้องอาบน้ำทำความสะอาดบริเวณหน้าอก หลัง ก้น ตำแหน่งที่สัมผัสเสียดสี หรือบริเวณที่เครื่องแบบรัดรูป. ถ้าผิวมันมากอาจใช้สบู่ที่มีส่วนผสมของ salicylic acid.
3. งดการใช้สายรัดศีรษะหรือสวมหมวกเป็นเวลานาน.
สิวของนักสีซอ (Fiddler's neck) จัดเป็นสิวเสียดสีชนิดหนึ่ง พบบ่อยในผู้ที่สีซอฝรั่งคือ ไวโอลินและวิโอลา นักดนตรีมักพบปัญหานี้ได้บ่อย. ลักษณะที่พบเป็นผื่นหนาที่คางซึ่งเป็นบริเวณที่สัมผัสกับเครื่องดนตรี ผิวหนังบริเวณนี้นอกจากหนาตัวขึ้นแล้วยังมีรอยดำ และมีตุ่มแดง ตุ่มหนองของสิว และซิสต์เกิดขึ้นได้ สิวของนักสีซอจัดเป็นสิวเสียดสีแบบหนึ่งเช่นกัน.
3. สิวจากเครื่องสำอาง (acne cosmetica)
คือ สิวที่เกิดจาก/หรือถูกทำให้กำเริบโดยเครื่องสำอาง จากการที่สารเคมีในเครื่องสำอางอุดตันรูขุมขนทำให้เกิดสิวอุดตัน พบมากเมื่อ 20-30 ปีที่แล้ว. ปัจจุบันเครื่องสำอางมีการพัฒนาสูตรและเลือกใช้สารที่ไม่ก่อสิว ทำให้โรคสิวชนิดนี้พบน้อยลง. เครื่องสำอางนิยมระบุว่าไม่ก่อสิวอุดตัน (non-comedoge-nic) และไม่ก่อสิวอักเสบ (non-acne(i)genic) นอก จากนั้น ก็มีการระบุว่าเครื่องสำอางปราศจากน้ำมันหรือละลายในน้ำ (oil-free or water-based) มีการทดสอบสารแต่ละตัวที่นำมาทำเครื่องสำอางว่าก่อให้เกิดสิวอุดตันหรือไม่ (comedogenicity). แท้ที่จริงการที่จะบอกว่าเครื่องสำอางตัวใดก่อให้เกิดสิวหรือไม่ ต้องทดสอบจากเครื่องสำอางที่สำเร็จรูปแล้ว ไม่ใช่เพียงแต่ดูว่าสารที่นำมาผสมแต่ละชนิดต่างไม่กระตุ้นให้เกิดสิว. สิวจากเครื่องสำอางมักพบเป็นตุ่มแดงเล็กๆ เป็นผื่นที่แก้ม คาง และหน้าผาก (ภาพที่ 3) มักพบหลังใช้เครื่องสำอาง 2-3 สัปดาห์หรือหลายเดือน ถ้าหยุดการใช้เครื่องสำอางต้นเหตุสิวมักดีขึ้น.
สำหรับคำแนะนำที่แพทย์อาจให้ผู้ป่วยสิวจากเครื่องสำอาง และผู้ที่แพ้เครื่องสำอาง คือ
1. ให้หลีกเลี่ยงเครื่องสำอางที่ผสมน้ำมันที่ซึมผ่านผิวหนังได้ (penetrating oil) น้ำมันที่ผสมในเครื่องสำอางหลายตัวทำให้สิวกำเริบ เช่น lanolin (กรดไขมันที่สกัดจากขนแกะ), isopropyl myristate ควรเลือกเครื่องสำอางที่ปราศจากน้ำมันและไม่ก่อสิวอุดตัน (oil-free and non-comedogenic).
2. เลือกเครื่องสำอางที่ไม่ผสมกลิ่นหอมและทำให้แพ้ได้น้อย (fragrance-free or hypo-allergenic) พบว่า กลิ่นหอม (fragrances) เป็นสาเหตุใหญ่ของการทำให้ผิวหน้าแพ้และระคายเคือง. แท้จริงเครื่องสำอางที่ระบุว่า ปราศจากกลิ่น (unscented) ก็ยังผสมกลิ่นหอมเพื่อดับกลิ่นสารเคมีต่างๆ. ปฏิกิริยาต่อกลิ่นหอมแตกต่างกันไปในแต่ละคน อาจทดสอบ patch test ที่หลังใบหูก่อน ถ้าหลังทำซ้ำ 3 วันแล้วไม่เกิดการระคายเคือง ก็น่าจะใช้เครื่องสำอางชนิดนั้นได้. กลิ่นหอมที่ก่อปัญหาบ่อย ได้แก่ กลุ่ม bergamot, cinnamate และ musk.
3. ระวังการใช้เครื่องสำอางปัดเงาและสี เครื่องสำอางประเภท eye shadow, face powder และ blush ที่ทำให้ผิวมีประกาย มักมีส่วนผสมของ mica ที่เป็นอนุภาคที่เป็นแผ่นขอบหยักทำให้ผิวระคายเคืองและเกิดสิวอุดตันได้ จึงไม่ควรเลือกเครื่องสำอางที่ทาแล้วเป็นประกายมาก. ส่วนเครื่องสำอางที่ใช้ปัดแก้มให้แดงอาจผสมสีแดงที่ทำจากอนุพันธ์ของน้ำมันดิน จึงทำให้เกิดสิวอุดตันได้ พบว่า บลัชที่อยู่ในรูปครีม ทำให้เกิดสิวอุดตันมากกว่าในรูปของแป้งฝุ่นหรือเจล.
4. ระวังการใช้ครีมทารอบดวงตา ครีมทารอบดวงตามักมีเนื้อครีมหนาและมันมากกว่าครีมให้ความชุ่มชื้นที่ใช้กับใบหน้าทั่วไป. พบบ่อยว่าการทาครีมรอบดวงตาและการใช้ครีมเช็ดเครื่องสำอางที่เป็นน้ำมันมากอาจก่อให้เกิดตุ่มซิสต์ขาวขนาดเล็กมากที่ข้างในเป็นเคอราติน (milia). นอกจากนั้นเครื่องสำอางรอบดวงตาอาจเปื้อนผิวหน้าส่วนอื่นทำให้เกิดสิวที่หน้าผาก ขมับ และแก้ม.
5. ระวังการใช้เครื่องสำอางแต่งผม ควรปิดหน้าก่อนสเปรย์ผม ระวังไม่ให้น้ำมันใส่ผม มูส เจล ปอมเหมด (pomades) ตามแนวไรผม. ไม่ควรใช้ผลิตภัณฑ์แต่งผมเวลาออกกำลังกาย เพราะเหงื่อจากหนังศีรษะจะไหลพาเครื่องสำอางมาถูกผิว ทำให้สิวกำเริบได้.
6. ควรอาบน้ำ ล้างหน้า ล้างเครื่องสำอางหลังออกกำลังกาย แม้ว่าเหงื่อไม่ใช่สาเหตุโดยตรงของการเกิดสิว แต่ในผู้ที่เป็นสิวง่ายพบว่าเหงื่อ และเครื่องสำอางทำให้สิวกำเริบได้.
7. ระวังการใช้เครื่องสำอางทาริมฝีปาก โดยเฉพาะในผู้ป่วยโรคสิวที่มักมีรอยโรครอบปาก เครื่องสำอางประเภท lipstick และ glosses มีลักษณะเป็นไขมัน มีส่วนผสมของ petroleum wax และสารก่อสิวอุดตัน ยิ่งทาแล้วดูมันเป็นประกายมาก ยิ่งก่อสิวรอบปากมาก ควรเลือกชนิดที่ทาแล้วผิวดูด้าน.
สิวจากน้ำมันใส่ผม (pomade acne) พบได้บ่อยในผู้ชายที่ใส่น้ำมันใส่ผม โดยเฉพาะที่เหนียวเหนอะหนะ ซึ่งเรียกว่าปอมเหมด ทำให้เกิดรูขุมขนอุดตัน จึงเรียกสิวชนิดนี้ว่า สิวจากน้ำมันใส่ผม. สิวชนิดนี้มักพบที่บริเวณหน้าผาก (ภาพที่ 4) ขมับ และหนังศีรษะ ซึ่งเป็นบริเวณที่เส้นผมที่ใส่น้ำมันสัมผัสถูกลักษณะจะเป็นสิวอุดตันขนาดเท่าๆกัน อาจพบสิวอักเสบตุ่มแดงและตุ่มหนองได้บ้าง.
การรักษาสิวจากน้ำมันใส่ผม ควรแนะนำผู้ป่วยว่าหากทาเครื่องสำอางแต่งผม เพราะมีหนังศีรษะแห้ง ควรทาเครื่องสำอางห่างจากแนวไรผมเข้ามา 1 นิ้ว. ถ้าใช้เพื่อแต่งหรือจัดทรงผม ควรทาแค่ปลายเส้นผม ระวังไม่ให้ถูกหนังศีรษะและแนวไรผม. ถ้าเลี่ยงได้ควรเลิกใช้เครื่องสำอางแต่งผมที่เหนียวเหนอะหนะจำพวกปอมเหมด เมื่องดใช้แล้วสิวควรหายได้เอง หรืออาจใช้ยาทารักษาสิวร่วม หากไม่หายใน 6-8 สัปดาห์ แพทย์อาจพิจารณาให้ยาทายากินตามความรุนแรงของโรค.
ส่วน สิวแมคโดนัลด์ (Mc Donald's acne) คือ สิวจากน้ำมันพบในวัยรุ่นที่ทำงานร้านอาหารจานด่วน น้ำมันจากการทอดจะทำให้เป็นสิวได้.
4. สิวจากยา (drug-induced acne)
สิวอาจเกิดหรือเป็นมากขึ้นจากการได้รับยา ทาหรือยากินบางขนาน. ในการรักษาโรคที่รุนแรงบางอย่าง การเกิดสิวอาจจัดเป็นผลแทรกซ้อนที่ยอมรับได้หากจำเป็นต้องใช้ยา แต่ในบางกรณีแพทย์อาจหยุดยาขนานที่ก่อสิวแล้วใช้ยาอื่นแทน. การวินิจฉัยโรคสิวที่เกิดจากยามักไม่ยากเพราะมียาไม่กี่ขนาน ที่ก่อให้เกิดสิวได้. ลักษณะสิวจำพวกนี้มักเหมือนสิวสามัญ (acne vulgaris) คือ มีหลายรูป เช่น สิวอุดตัน (comedone), สิวหัวแดง (papule), สิวหัวหนอง (pustule) แต่ที่พบบ่อยคือ สิวหัวแดง ตำแหน่งของสิวจากยาจะแตกต่างจากสิวสามัญคือ มักพบที่ตามลำตัวมากกว่าที่จะพบบริเวณใบหน้า หลัง หน้าอก และอวัยวะสืบพันธุ์ ซึ่งเป็นบริเวณที่พบสิวมากในวัยรุ่น. การวินิจฉัยโรคสิวที่เกิดจากยาจำเป็นต้องซักประวัติการรับยา ทั้งยาที่แพทย์สั่ง ยาที่ซื้อเอง ยาการแพทย์ทางเลือก ยาสมุนไพร ยาแผนโบราณ อาหารและวิตามินเสริม ว่ามียาขนานใดเข้าข่ายกระตุ้นให้เกิดสิวได้.

ภาพที่ 1. รอยโรคของโรคสิวแกะเกา ภาพที่ 2. สิวเสียดสีพบในนักกีฬาอเมริกัน
ฟุตบอลที่ใส่หมวกเล่นกีฬา

ภาพที่ 3. สิวจากเครื่องสำอาง. ภาพที่ 4. สิวจากน้ำมันใส่ผมที่หน้าผาก

ภาพที่ 5. สิวจากสตีรอยด์ ภาพที่ 6. สิวในเด็กแรกเกิด

ภาพที่ 7. แผลเป็นจากสิวในทารก ภาพที่ 8. สิวจากเชื้อเกลื้อน

ภาพที่ 9. สิวหน้าแดง หรือ rosacea ภาพที่ 10. สิวจมูกโต หรือ rhinophyma

ภาพที่ 11. โรคสิวเรื้อรังที่รักแร้ หรือ ภาพที่ 12. Chloracne
hidradenitis suppurativa
ยาที่ทราบแน่นอนว่ากระตุ้นให้เกิดสิวหรือทำให้สิวเป็นมากขึ้นได้ คือ
ฮอร์โมนเพศชายและฮอร์โมนบางขนาน ฮอร์โมนเพศชาย (testosterone), ยาคุมกำเนิดชนิดฉีด คือ medroxyprogesterone และยาคุมกำเนิดชนิดกินที่ลด circulating sex hormone binding globulin (SHBG) ทำให้เกิดสิวในเพศหญิงได้.
สตีรอยด์ เป็นยาที่นิยมนำมาใช้รักษาโรคผิวหนังอักเสบเรื้อรัง และโรคผิวหนังที่เกิดจากภูมิแพ้ตนเอง (autoimmune) ชนิดกินและชนิดฉีดทำให้เกิดสิวได้เร็ว มักเป็นบริเวณกว้างตามลำตัว (ภาพที่ 5) มักเป็นสิวหัวแดง ไม่ค่อยพบสิวอุดตัน สิวที่เป็นถุงซิสต์ หรือแผลเป็น. สตีรอยด์ในรูปยาทาก็ทำให้เกิดสิวได้ พบว่า anabolic steroids เช่น danazol, stanozolol ทำให้เกิดสิวรุนแรง เช่น acne conglobata และ acne fulminans. นักกีฬาและนักกล้ามบางรายที่ใช้ยากระตุ้นโดยใช้ anabolic steroids เพื่อสร้างกล้ามเนื้อจะเกิดสิวรุนแรงได้.
ยากันชัก (anticonvulsant drugs) เช่น carbamazepine, phenytoin, phenobarbital ทำให้เกิดสิวและสิวกำเริบได้ แต่แพทย์บางท่านเชื่อว่า โรคลมชัก (epilepsy) เองทำให้เกิดการสร้างไขมันผิวหนังมากขึ้น (seborrhea) และเป็นสาเหตุกระตุ้นให้เกิดสิว.
Bromides และ Iodides ยาที่มีส่วนผสมของ bromides ที่มักพบในยานอนหลับ (sedatives) และ iodides ที่เป็นส่วนผสมของยาแก้ไอบางขนาน ทำให้เกิดผื่นตุ่มหนองเป็นบริเวณกว้างได้. ยาต้านอาการซึมเศร้า (antidepressants) เช่น lithium, amoxapine.
วิตามินบี คือ B12, cyanocobalamin.
การรักษาสิวที่เกิดจากยา ควรให้ผู้ป่วยกลับไปพบแพทย์เจ้าของไข้ที่สั่งยา เพื่อประเมินว่ามียาขนานอื่นที่รักษาโรคเดิมที่เป็นอยู่ได้หรือไม่ หรือจำเป็นต้องได้ยาขนานเดิมแล้วรักษาผลข้างเคียงคือ สิว โดยรักษาตามความรุนแรงของสิวที่เป็น.
5. สิวในเด็กแรกเกิด, ในทารก และในเด็ก (neonatal acne, infantile and childhood acne)
สิวในเด็กแรกเกิด (neonatal acne หรือ neonatal cephalic pustulosis) เป็นรอยโรคที่เป็นตุ่มหนอง (pustular eruption) พบที่ใบหน้าของเด็กแรกเกิด (ภาพที่ 6) ไม่พบสิวอุดตันและไม่ทำให้เกิดแผลเป็น เกิดจากการกำเริบของเชื้อยีสต์ (malas sezia colonization) อาจวินิจฉัยโดยการตรวจหา เชื้อจากกล้องจุลทรรศน์และการเพาะเชื้อ. โดยทั่วไปมักหายไปได้เองโดยไม่ต้องรักษา แต่ถ้าเป็นมากหรือไม่น่าดู อาจใช้ยาทารักษาเชื้อยีสต์ได้.
สิวในทารก (infantile acne) โดยทั่วไปเป็นที่แก้ม, บางครั้งเป็นที่หน้าผาก และคางของทารกอายุ 1-6 ปี พบบ่อยกว่าในทารกชาย อาจมีอาการรุนแรงน้อยจนถึงปานกลาง ส่วนใหญ่สิวประเภทนี้จะหายใน 2-3 เดือน รอยโรคที่พบได้มีทั้งสิวอุดตัน (สิวหัวขาวและสิวหัวดำ), สิวอักเสบหัวแดง และสิวหัวหนอง อาจเกิดแผลเป็นจากสิวได้. สิวในทารกนั้นมักหายไปเองเมื่ออายุ 3-4 ปี พบว่าสิวในทารกส่วนใหญ่คือ ร้อยละ 80 มักพบในทารกเพศชาย และเริ่มมีสิวเกิดขึ้นภาย ในช่วงอายุขวบปีแรก เชื่อว่าพันธุกรรมอาจมีส่วนเกี่ยวข้องกับสิวในทารก คือ พบประวัติครอบครัวว่าเป็นสิวเช่นกันถึงร้อยละ 77 ตามปกติแล้วเด็กที่เป็นสิวมักมีร่างกายปกติ มีเพียงส่วนน้อยเท่านั้นที่สิวในทารกอาจเป็นอาการแสดงของความผิดปกติของระบบต่อมไร้ท่อ. ผลของสิวในทารกอาจทำให้เกิดแผลเป็นถาวร (ภาพที่ 7) พบว่าผู้ป่วยสิวในทารกที่มีอาการรุนแรงมีแนวโน้มที่จะเกิดสิวรุนแรงในวัยรุ่น.
สาเหตุของสิวในทารก (infantile acne) ยังไม่ทราบแน่ชัด เชื่อว่าน่าจะมาจากฮอร์โมนในร่างกาย โดยเฉพาะแอนโดรเจนที่ต่อมหมวกไต (adrenal androgen) คือ dehydroepiandrosterone แต่ใน บางรายก็พบว่ามีระดับของ testosterone, luteinizing hormone (LH) และ follicle stimulating hormone (FSH) สูงผิดปกติ. อย่างไรก็ตาม สิวในทารกส่วนใหญ่ไม่จำเป็นต้องตรวจหาระดับฮอร์โมน.
การรักษาสิวในทารก ทั่วไปใช้ยาทา คือ benzoyl peroxide หรือ erythromycin gel ในรายที่มีอาการรุนแรงมากอาจใช้กลุ่มยากินคือ erythromycin และ trimethoprim หรือ isotretinoin ไม่ให้ใช้ tetracycline เพราะทำให้เกิดฟันแท้เหลืองถาวร.
สิวในเด็ก (childhood acne) พบได้น้อย ไม่ถือเป็นภาวะปกติ ต้องแยกโรคสิวในวัยเด็กออกจากโรคสิวในเด็กก่อนวัยรุ่น (pre-teen acne) ที่พบในเด็กอายุ 8-12 ปี ที่พบได้บ่อยและมีลักษณะเหมือนสิวในวัยรุ่นทั่วไปที่จัดว่าเป็นเรื่องปกติ.
คำจำกัดความของสิวในวัยเด็ก (childhood acne) วัยเด็กหมายถึง ช่วงชีวิตระหว่างวัยทารกจนถึงวัยรุ่น ซึ่งพบสิวน้อยมากในช่วงนี้ ทั่วไปถือว่าวัยทารกคือ ช่วง 12, 18 หรือ 24 เดือนแรกของชีวิต. ส่วนวัยรุ่นคือ ช่วงรอยต่อระหว่างวัยเด็กและวัยผู้ใหญ่ซึ่งมีการเปลี่ยนแปลงทั้งด้านร่างกาย สติปัญญาและอารมณ์ มีความผันแปรในเรื่องอายุเริ่มต้นและความยาวของช่วงวัยรุ่นในแต่ละบุคคล, แต่ละวัฒนธรรม และแต่ละช่วงประวัติศาสตร์ โดยที่อายุเริ่มต้นของวัยรุ่น มีแนวโน้มจะลดลงเรื่อยๆ. ในแง่ของโรคสิวจึงมีการตั้งกลุ่มโรคสิวในเด็กก่อนวัยรุ่น (pre-teen acne) ขึ้นมา ซึ่งหมายถึงสิวในเด็กอายุ 8-12 ปี ดังนั้นสิวในวัยเด็กก็คือ สิวในช่วงอายุ 1-8 ปี.
สาเหตุของสิวในวัยเด็ก สิวในวัยเด็กพบได้ยากมากเพราะต่อมไขมัน (sebaceous gland) ยังไม่ทำงานเต็มที่ ต่อเมื่อย่างเข้าวัยรุ่นฮอร์โมนเพศ จึงกระตุ้นให้ต่อมไขมันทำงานเต็มที่และเริ่มเกิดสิว. ลักษณะทางคลินิกของสิวในวัยเด็กเหมือนสิวในวัยรุ่น แต่จัดว่าการพบสิวในวัยเด็กเป็นเรื่องผิดปกติ (pathological) ที่ต้องสืบค้นซึ่งอาจเกิดจากภาวะเข้าสู่วัยรุ่นเร็วเกินไป จากการเป็นโรคบางอย่าง (pathological precocious puberty) เช่น ความผิดปกติของระบบต่อมไร้ท่อ หรือเนื้องอกที่ผลิตฮอร์โมน (hormone-producing tumor). สิวในวัยเด็กยังอาจเกิดจากสาเหตุอื่นๆที่กระตุ้นให้เกิดสิวได้ แต่ที่พบอย่างมีนัยสำคัญคือ สิวจากการได้ยาบางขนาน แพทย์จึงต้องสอบถามผู้ปกครองถึงประวัติการได้ยาของเด็กด้วย. ภาวะสิวในวัยเด็กนั้นจัดว่าเป็นเรื่องผิดปกติที่ต้องได้รับการตรวจหาสาเหตุและอาจต้องปรึกษาแพทย์ผู้เชี่ยวชาญเฉพาะด้านตามความเหมาะสม.
6. สิวจากเชื้อเกลื้อน (pityrosporon fol-liculitis, malassezia folliculitis)
พบว่าผู้ป่วยบางรายมีตุ่มแดง ขนาดเส้นผ่าศูนย์กลาง 2-4 มม. รอยโรคพบตามตำแหน่งรูขุมขน อาจพบตุ่มหนองขนาดเล็กบนตุ่มแดง. พบรอยโรคตามตำแหน่งที่ผิวหนังมีเชื้อ Malassezia มาก คือ ที่บริเวณหน้าอก หลังช่วงบน ต้นแขน หนังศีรษะ และคอ (ภาพที่ 8) ไม่ค่อยพบที่ใบหน้า. ถ้าฉาย Wood light พบการเรืองแสงสีขาวหรือฟ้าที่รูขุมขน มักมีอาการคันร่วมด้วย (สิวทั่วไปมักไม่ค่อยคัน) มักเป็นที่ลำตัวช่วงบนของวัยผู้ใหญ่ตอนต้นจนถึงกลางคน ได้รับการรักษาแบบสิวธรรมดาก็ไม่ค่อยดีขึ้น. สิวชนิดนี้เกิดจากเชื้อยีสต์ Malassezia furfur ซึ่งเป็นเชื้อตัวเดียวกับที่ก่อให้เกิดเกลื้อน โดยตรวจพบเชื้อยีสต์ในรูขุมขน. แนวทางการรักษาสิวชนิดนี้ นอกจากให้การรักษาสิวแบบทั่วไปแล้ว ยังต้องได้ทายาหรือยากิน ฆ่าเชื้อยีสต์ร่วมด้วย. สิวประเภทนี้อาจดูใกล้เคียงกับสิวสามัญ แต่จะไม่พบสิวอุดตันหรือซิสต์ และผู้ป่วยสิวชนิดนี้อาจเป็นโรค seborrheic dermatitis, confluent and reticulated papillomatosis หรือ systemic candidiasis ร่วมด้วย.
ปัจจัยที่กระตุ้นให้เชื้อยีสต์กำเริบคือ โรคทางร่างกายบางอย่าง เช่น เบาหวาน, Cushing disease, Hodgkin disease, HIV infection, Down syndrome, การได้รับยากดภูมิต้านทาน. นอกจากนั้น การตั้งครรภ์, การได้รับยาปฏิชีวนะ, ยากันชัก, การอยู่ในที่ร้อนชื้น, การทาครีมบำรุงผิว น้ำมัน ยากันแดด หรือการสวมเสื้อผ้าหนา ทำให้ผิวและรูขุมขนอับชื้นระบายอากาศไม่ดี.
การวินิจฉัยอาศัยลักษณะทางคลินิก อาจทำ KOH preparation เพื่อยืนยันการวินิจฉัย ไม่จำเป็นต้องเพาะเชื้อ.
แนวทางการรักษาสิวชนิดนี้ ใช้ยาทา เช่น ครีม หรือแชมพู ketoconazole, ครีม ciclopiroxolamine, ครีม econazole, แชมพู selenium sulfide หรือยากินฆ่าเชื้อยีสต์ เช่น ketoconazole, itraconazole, fluconazole ร่วมด้วย. ควรงดยาปฏิชีวนะกินที่ไม่จำเป็น เพราะพบว่า tetracycline ไม่ช่วยให้โรคสิว ชนิดนี้ดีขึ้นและมักทำให้อาการกำเริบเพราะจะทำลาย normal bacterial skin flora และทำให้เชื้อยีสต์ ยิ่งกำเริบ.
7. สิวหน้าแดง (acne rosacea)
เดิมเรียกภาวะนี้ว่า acne rosacea แต่ปัจจุบันใช้คำว่า rosacea แทน เพราะโรคนี้ไม่ใช่สิว พบในผู้ป่วยอายุ 30-50 ปี โดยเฉพาะในผู้ที่มีผิวขาว พบบ่อยกว่าในหญิง แต่ถ้าเป็นในชายจะมีอาการรุนแรงได้บ่อย. ลักษณะเป็นปื้น แดงบวม มีตุ่มแดงและตุ่มหนองเล็กๆร่วมกัน พบหลอดเลือดฝอยขยายตัวที่ตาม แก้ม หน้าผาก คาง และจมูก (ภาพที่ 9) แต่อาจพบรอยโรคที่คอ และหน้าอกส่วนบน อาจพบสิวที่เหมือนสิวในวัยรุ่นร่วมด้วย แต่ไม่พบสิวอุดตันชนิดหัวขาวและหัวดำ และยังพบว่าการดื่มเครื่องดื่มแอลกอฮอล์, ชากาแฟ ทำให้อาการหน้าแดงกำเริบได้. ปัจจุบันเชื่อว่าอาการกำเริบนั้นขึ้นกับความร้อนของชากาแฟมากกว่า ดังนั้น การดื่มเครื่องดื่มร้อนๆ ทุกชนิดจะกระตุ้นอาการนี้. ผู้ป่วยที่เป็นมากมักมีจมูกแดงและมีตุ่มสิวที่จมูก ซึ่งเมื่อเป็นเรื้อรังจะทำให้จมูกโต เรียกภาวะนี้ว่า rhinophyma (ภาพที่ 10) หรือเรียกง่ายๆ ว่า W.C. Fields' nose ตามชื่อนักแสดงตลกชาวอเมริกันที่ ล่วงลับไปแล้วที่มีจมูกโตเพราะเป็น rhinophyma. ประมาณครึ่งหนึ่งของผู้ป่วยโรค rosacea จะมีอาการแสบเคืองตาเพราะมีเยื่อบุนัยน์ตาอักเสบ (conjunctivitis). ถ้าไม่ได้รับการรักษาที่ถูกต้องจะเกิดการทำลายกระจกตา. มีงานวิจัยว่าผู้ป่วยสิวหน้าแดงจะมีระดับของ cathelicidin และ stratum corneum tryptic enzymes (SCTEs) สูงกว่าปกติ.
การรักษา ใช้ยากิน เช่น tetracycline ช่วงแรกให้ขนาดยาสูงแล้วค่อยๆปรับลดขนาดยา. ยาทา เช่น ครีม metronidazole, erythromycin, clindamycin แพทย์บางรายอาจใช้ครีมสตีรอยด์ทาในระยะสั้น และมีการใช้ครีม permethrin ที่รักษาโรคหิด ทาเพื่อฆ่าไรที่พบได้ในโรคนี้. กำลังมีการทดลองยา melanocyte-stimulating hormones ที่มีฤทธิ์ต้านอักเสบและทำให้ชั้นหนังกำพร้าหนาตัวขึ้น. ควรแนะนำให้ผู้ป่วยโรค rosacea งดการสูบบุหรี่ งดการดื่มแอลกอฮอล์ งดอาหารที่เผ็ดจัดหรือใส่เครื่องเทศ หลีกเลี่ยงการถูกแสงแดด การสัมผัสอากาศเย็นจัดหรือร้อนจัด ไม่ใช้ครีมสตีรอยด์ความเข้มข้นสูงทาเพราะทำให้หลอดเลือด ยิ่งขยายตัว.
8. สิวเรื้อรังที่รักแร้ (hidradenitis suppurativa)
มีลักษณะเป็นสิวและตุ่มหนองอักเสบเรื้อรัง เมื่อหายจะเกิดแผลเป็น พบได้ที่รักแร้ อาจพบที่บริเวณอวัยวะสืบพันธุ์, ทวารหนัก และใต้ราวนมในเพศหญิงด้วย. ลักษณะเฉพาะของสิวนี้คือ พบสิวอุดตัน 2 หัว คือ เป็นสิวหัวดำที่มีรูเปิดสู่ผิวหนัง 2 จุด ซึ่งมีทางต่อเชื่อมระหว่างรูเปิดนี้ใต้ผิวหนัง. อาจพบรอยโรคนี้หลาย ปีก่อนมีอาการอื่น รอยโรคนี้จะกำเริบลุกลามและก่อให้เกิดเป็นแผลที่รักแร้ คลำดูอาจพบแผลเป็นเป็นแท่งแข็งในผิวหนัง. สาเหตุของสิวนี้เชื่อว่าเกิดจากรูขุมขนอุดตัน ร่วมกับความผิดปกติของต่อมเหงื่ออะโปครีน (apocrine gland) ซึ่งเป็นต่อมเหงื่อเฉพาะที่รักแร้ ซึ่งจะหลั่งของเหลวสีน้ำนมที่เมื่อทำปฏิกิริยากับแบคทีเรีย แล้วก่อให้เกิดกลิ่นตัวขึ้นมา. ฮอร์โมนเพศน่าจะมีส่วนร่วมต่ออาการสิวชนิดนี้ จึงไม่พบสิวชนิดนี้ก่อนวัยรุ่นและหลังหมดประจำเดือนไปแล้ว (ภาพที่ 11).
9. สิวจากงานอาชีพ (occupational acne)
เป็นการอักเสบของต่อมไขมันที่ผิวหนังจากการที่มีสารเคมีบางตัวที่สัมผัสระหว่างการทำงาน อุดตันรูขุมขน แบ่งออกเป็น 3 กลุ่ม คือ
1. Oil acne เกิดจาก petroleum และอนุพันธุ์ของมัน พบรอยโรคที่แขน, มือ, ท้อง, ต้นขา ต้องไปพบแพทย์ เพราะแม้จะไม่สัมผัสสารต้นเหตุแล้ว รอยโรคก็จะคงอยู่นานหลายเดือน. ผิวบริเวณที่สัมผัสสารมักมีสีคล้ำและไวต่อแสงและอาจเกิดมะเร็งผิวหนังตามมาได้.
2. Coal-tar acne เกิดจากผลิตภัณฑ์ที่มีส่วนผสมของ coal-tar. รอยโรคมักเป็น ตุ่มมีจุกดำ (black plugs) ที่รอบดวงตา. เมื่อหยุดสัมผัสสาร รอยโรคสิว จะหายไปโดยเร็วแต่ก็มีบางรายที่รอยโรคคงอยู่นาน มีผิวคล้ำ ปวดแสบปวดร้อน ผิวแดง (flushing of the skin) เมื่อถูกแสงแดด และอาจเกิดมะเร็งผิวหนังตามมาได้.
3. Chloracne เกิดจาก halogenated aromatic compounds รอยโรคมีลักษณะเป็นซิสต์สีเหลือง และซิสต์สีเหลืองที่มีจุกเทา (yellow cysts and gray plugs) (ภาพที่ 12) ส่วนใหญ่พบที่หน้า. ในรายที่เป็นรุนแรงจะพบรอยโรคที่หัวไหล่, หน้าอก, หลัง, ท้อง, แขน, ต้นขา, ขา, มือ, และเท้า มักเกิดจากการสัมผัสสารก่อเหตุโดยตรง แต่ก็อาจเกิดจากการกินและการหายใจ. รอยโรคเกิดหลังสัมผัสสาร 3-4 สัปดาห์ และรอยโรคอาจคงอยู่หลังงดสัมผัสสารนานถึง 15 ปี พบความผิดปกติอื่น ได้แก่ โรคตับ, หลอดลมอักเสบ (bronchitis), คลื่นไส้, อาเจียน, ท้องเสีย, ปวดศีรษะ, เหนื่อยอ่อน, กระวนกระวาย, เหงื่อออกที่ฝ่ามือ และขาชา. เป็นที่ทราบกันว่าประธานาธิบดี Viktor Yuschenko ของประเทศยูเครน มีใบหน้าที่เป็นโรคสิวชนิด chloracne นี้ เพราะเคยถูกวางยาพิษด้วยสาร dioxin.
10. Acne agminata (lupus miliaris disseminatus faciei)
เป็นโรคผิวหนังอักเสบเรื้อรังที่พบน้อยมาก มีลักษณะเป็นตุ่มสีแดงเหลือง หรือน้ำตาลเหลือง พบที่กลางใบหน้า โดยเฉพาะที่เปลือกตาและรอบเปลือกตา. รอยโรคอาจอยู่เดี่ยวหรือเป็นกลุ่ม (ภาพที่ 13) เดิมเคยเชื่อว่าเป็น tuberculid ปัจจุบันเชื่อว่าน่าจะเป็นรูปแบบหนึ่งของ granulomatous rosacea แต่บางท่านเชื่อว่าเป็นโรคเฉพาะโรคหนึ่ง มีการเสนอเรียกชื่อโรคนี้ใหม่ว่า FIGURE (facial idiopathic granulomas with regressive evolution) แต่ชื่อนี้ก็ยังไม่เป็นที่นิยม. การรักษายังไม่สามารถสรุปได้ว่า วิธีใดเหมาะสมที่สุด มีรายงานการใช้ low-dose prednisone, dapsone, tetracycline, antimalarials, pyridoxine hydrochloride, riboflavin, isotretinoin รักษาโรคนี้.

ภาพที่ 13. Acne agminata ภาพที่ 14. Acne conglobata

ภาพที่ 15. Acne fulminas ภาพที่ 16. Pyoderma facial

ภาพที่ 17. Sebaceous gland hyperplasia ภาพที่ 18. Syringoma

ภาพที่ 19. Trichoepithelioma ภาพที่ 20. Adenoma sebaceum

ภาพที่ 21. จุลพยาธิวิทยาของ syringoma ภาพที่ 22. จุลพยาธิวิทยาของ trichoepithelioma
11. โรคสิวที่รุนแรง (severe forms of acne)
โรคสิวที่รุนแรงพบได้ยาก แต่สร้างปัญหาให้ผู้ที่เป็นโรคนี้ได้มาก และทำให้ใบหน้าไม่น่าดู ส่งผลเสียทางจิตใจด้วย. โรคสิวที่รุนแรงได้แก่
► Acne conglobata จัดเป็นสิวสามัญชนิด ที่มีความรุนแรงที่สุด พบบ่อยกว่าในเพศชาย จัดเป็นรูปแบบหนึ่งของ nodulocystic acne ชนิดที่มี โพรงฝีหนองและไซนัสที่เชื่อมกัน (interconnecting abscesses and sinuses) ทำให้เกิดแผลเป็นที่ไม่น่าดูทั้งชนิดนูนหนา (hypertrophic scars) และชนิดผิวฝ่อ (atrophic scars) ยังพบสิวอุดตันขนาดใหญ่ (macrocomedones) และถุงซิสต์ที่ภายในมีหนอง ที่มีกลิ่นเหม็น. สิวชนิดนี้อาจก่อแผลเป็นอย่างรุนแรงทำให้เสียโฉม พบที่หน้า (ภาพที่ 14), หน้าอก, หลัง, ก้น, ต้นแขน และต้นขา สิวประเภทนี้เริ่มเป็นระหว่างอายุ 18-30 ปี และอาจกำเริบอยู่นานหลายปี ค่อนข้างดื้อต่อการรักษา ต้องใช้ยา isotretinoin ชนิดกิน.
► Acne fulminans เป็น acne conglobata ที่เกิดขึ้นอย่างรวดเร็ว ปกติพบในชายหนุ่ม. อาการคือ พบ nodulocystic acne ที่เป็นรุนแรง โดยพบได้บ่อยว่ามีสิวแตกเป็นแผล (ภาพที่ 15) พบว่าเกิดแผล เป็นได้มากเช่นเดียวกับที่พบใน acne conglobata โดยที่ในโรค acne fulminans มีลักษณะเฉพาะคือ มีอาการไข้และปวดข้อร่วมด้วย โดยเฉพาะข้อตะโพกและข้อเข่า. สิวชนิดนี้ไม่ค่อยตอบสนองต่อยาปฏิชีวนะมักต้องใช้ยากิน isotretinoin และสตีรอยด์. ผู้ที่เป็นสิวชนิดนี้อาจเป็นสิวรุนแรงชนิดอื่นที่รักษาไม่หายมาก่อน.
► Gram-negative folliculitis เป็นการติดเชื้อแบคทีเรียกรัมลบที่มีลักษณะเป็นตุ่มหนอง (pustules) และซิสต์ เชื่อว่าอาจเป็นผลแทรกซ้อนจากการใช้ยาปฏิชีวนะรักษาโรคสิวสามัญ (acne vulgaris) เป็นเวลานานมาก่อน พบได้น้อยและยังไม่ทราบว่าพบในเพศชายหรือหญิงมากกว่ากัน. สิวชนิดนี้ส่วนใหญ่ตอบสนองต่อการใช้ยา isotretinoin ชนิดกิน.
► Pyoderma faciale หรือ rosacea fulminans โรคสิวประเภทนี้พบเฉพาะในเพศหญิง อายุระหว่าง 20-40 ปี มีลักษณะเฉพาะคือ มี nodules ขนาดใหญ่ที่เจ็บ, ตุ่มหนอง และมีแผลที่อาจก่อแผลเป็น (ภาพที่ 16). โรคนี้เกิดขึ้นอย่างรวดเร็วและอาจพบในผู้หญิงที่ไม่เคยเป็นสิวมาก่อน เป็นเฉพาะที่ ใบหน้า ไม่เกี่ยวกับภาวะหน้ามัน มักไม่เป็นนานเกิน 1 ปี อาการอาจกำเริบเลวลงได้อย่างรวดเร็ว.
► สิวหลอดเลือดอักเสบ (vasculitic acne) พบได้ไม่บ่อยนักแต่มีอาการรุนแรงมาก จะเกิดสิวอักเสบและแผลขึ้นอย่างรวดเร็วและรุนแรง. สิวแบบนี้กำเริบลุกลามภายในเวลา 2-3 วันเท่านั้น มักพบความผิดปกติทางระบบภูมิต้านทานและมีอาการหลอดเลือดอักเสบร่วมด้วย. การรักษาต้องได้ทั้งยาชนิดกินรักษาสิวคือ ยาปฏิชีวนะ, สตีรอยด์ คือ เพร็ดนิโซโลนกับยากดภูมิต้านทาน จัดเป็นสิวชนิดที่รุนแรงและน่ากลัวอีกชนิดหนึ่ง.
ข้อแทรกซ้อนของโรคสิวชนิดรุนแรง ต้องระวังผลทางด้านจิตใจ โดยเฉพาะในวัยรุ่น, มีรายงานการพบ renal amyloidosis, แผลเป็นที่เกิดขึ้นอาจคงอยู่ตลอดชีวิต ซึ่งนอกจากจะเป็นแผลเป็นที่มองเห็นที่ร่างกายแล้ว (physical scars) ยังอาจเป็นแผลเป็นทางจิตใจ (psychological scars) ด้วย.
การส่งต่อผู้ป่วยโรคสิวชนิดรุนแรง ทั่วไปยึดหลักว่าแพทย์เวชปฏิบัติควรส่งต่อผู้ป่วยโรคสิวชนิดรุนแรงให้แพทย์เฉพาะทางด้านโรคผิวหนังในกรณีดังนี้
1. ผู้ป่วยโรคสิวชนิด acne fulminans และ Gram-negative folliculitis ควรส่งต่อด่วนภายในเวลา 2 สัปดาห์.
2. ผู้ป่วยโรคสิวรุนแรงที่มีอาการเจ็บปวดสิว, มีตุ่มสิวอยู่ลึก, หรือมีซิสต์ (nodulocystic acne) หรือผู้ป่วยโรคสิวที่ควรรักษาด้วยยากิน ควรส่งต่อทันที.
3. ผู้ป่วยโรคสิวที่อาการไม่รุนแรงมาก แต่อาจเกิดแผลเป็น หรือโรคสิวที่ไม่ค่อยตอบสนองต่อการรักษา.
12. รอยโรคที่คล้ายสิว
รอยโรคที่ใบหน้าบางชนิดดูเผินๆ อาจคล้ายสิว เช่น
Sebaceous gland hyperplasia พบบ่อยบริเวณใบหน้าโดยเฉพาะหน้าผากในผู้สูงอายุ เป็นตุ่มขนาดเล็กสีเหลือง ตรงกลางมีรอยบุ๋ม (ภาพที่ 17).
Syringoma เป็นเนื้องอกของท่อต่อมเหงื่อที่พบได้บ่อย ลักษณะเป็นเม็ดเล็กสีเดียวกับผิว หรือสีเหลืองอ่อน สีน้ำตาล สีชมพู ขนาด 2-3 มม. กระจายอยู่รอบบริเวณดวงตาโดยเฉพาะบริเวณเปลือกตาล่าง และแก้ม บางครั้งเรียกว่า สิวหิน (ภาพที่ 18).
Trichoepithelioma ตุ่มเนื้อที่เกิดจากเซลล์ขุมขน เป็นกลุ่มเนื้องอกขนาดเล็ก รูปร่างกลม ผิวเรียบ สีเดียวกับผิวหรือแดงเล็กน้อย ขนาด 2-4 มม. อยู่เป็นกลุ่มหรือกระจายทั้งหน้า (ภาพที่ 19) มักเริ่มเป็นในวัยเด็ก. การรักษาใช้วิธีจี้ด้วยไฟฟ้า เลเซอร์ ไนโตรเจนเหลว กรอผิว หรือตัดทิ้ง แล้วแต่ขนาดและจำนวนที่เป็น.
Adenoma sebaceum ตุ่มเนื้องอกชนิดนี้มีลักษณะเป็นเม็ดสีน้ำตาลแดงใสมันใส ถ้าดูใกล้ๆ อาจพบหลอดเลือดฝอยขนาดเล็กจำนวนมากมาย. ตุ่มเนื้องอกชนิดนี้มักพบตามร่องข้างแก้ม แก้ม และคาง และยังอาจพบได้ตามหน้าผาก (ภาพที่ 20) หนังศีรษะและใบหู อาจเกิดร่วมกับกลุ่มอาการ tuberous sclerosis ซึ่งประกอบด้วยเนื้อเยื่อคอลลาเจนที่หนาและมีขนาดใหญ่ขึ้น เรียกว่า shagreen patch. รอยด่างขาวรูปร่างคล้ายใบไม้ตามตัว (ash leaf) แคลเซียม เกาะในสมอง เนื้องอกในตา ไต กระดูก และฟันผิดปกติ เป็นต้น. ในหญิงเจริญพันธุ์พบ pulmonary lymphangiomyoma โรคนี้ถ่ายทอดทางพันธุกรรมแบบ autosomal dominant พบว่ามากกว่าร้อยละ 60-70 ของผู้ป่วยกลุ่มอาการนี้สติปัญญาอ่อน และร้อยละ 80-90 มีอาการชัก จึงต้องถ่ายภาพเอกซเรย์สมอง และถ่ายภาพเอกซเรย์คอมพิวเตอร์ตามความจำเป็นในแต่ละราย. รักษาอาการชักและรับคำแนะนำในด้านการวางแผนครอบครัว เพราะพ่อหรือแม่ที่เป็นโรคนี้ หากมีลูกไม่ว่าจะเป็นชายหรือหญิง ร้อยละ 50 มีโอกาสเกิดกลุ่มอาการนี้. ส่วนในแง่ cosmetic อาจตัดตุ่มเหล่านี้ออกโดยใช้จี้ด้วยไฟฟ้า ใช้เลเซอร์ หรือการขัดผิวหนัง.
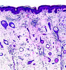
รอยโรคที่คล้ายสิวเหล่านี้มีลักษณะทางจุลพยาธิวิทยาที่แตกต่างกัน เช่น ใน syringoma พบเนื้องอกในส่วนบนของชั้นหนังแท้ ลักษณะเป็นท่อเล็กๆ ที่มีผนังเป็น epithelial cells หนา 2 ชั้น ดูคล้ายลูกอ๊อด (tadpole-shape) (ภาพที่ 21), ใน trichoepithelioma พบกลุ่มของเซลล์คล้ายเซลล์ชั้นฐานของหนังกำพร้า (basaloid cells) และพบซิสต์ที่ภายในเป็นเคอราติน (horn cysts) (ภาพที่ 22). ส่วน adenoma sebaceum นั้นเป็นชื่อที่ตั้งผิด (misnomer) เพราะลักษณะทางจุลพยาธิวิทยาที่แท้จริงเป็น angiofibromas.
เอกสารอ้างอิง
1. รัศนี อัครพันธุ์. โรคของต่อมไขมัน. ใน : ปรียา กุล-ละวณิชย์, ประวิตร พิศาลบุตร. ตำราโรคผิวหนังใน เวชปฏิบัติปัจจุบัน (Dermatology 2010). กรุงเทพฯ : บริษัท โฮลิสติก พับบลิชชิ่ง จำกัด, 2548:56-70.
2. ปรียา กุลละวณิชย์, วลัยอร ปรัชญพฤทธิ์. Facial dermatitis. ใน : ปรียา กุลละวณิชย์, ประวิตร พิศาลบุตร. ตำราโรคผิวหนังในเวชปฏิบัติปัจจุบัน (Dermatology 2010) . กรุงเทพฯ : บริษัท โฮลิสติก พับบลิชชิ่ง จำกัด, 2548:56-70.
3. Hall JC. Acne. In Sauer's Manual of Skin Disease. 8th ed. Philadelphia : Lippincott Williams and Wilkins, 2000:117-22.
4. Jansen T, Burgdorf WH, Plewig G. Pathogenesis and treatment of acne in childhood. Pediatr Dermatol 1997 Jan-Feb;14(1):17-21. [abstract]
5. Sterling JB, Hanke CW. Dioxin toxicity and chloracne in the Ukraine. J Drugs Dermatol 2005 Mar-Apr;4(2):148-50. [abstract]
6. Rosner IA, Burg CG, Wisnieski JJ, et al. The clinical spectrum of the arthropathy asso- ciated with hidradenitis suppurativa and acne conglobata. J Rheumatol 1993 Apr;20(4): 684-7. [abstract]
7. Vincenzo B, Layton AM, Thiboutot D. Fast Facts-Acne. Oxford, UK : Health Press Limited, 2004.
8. Kligman, Albert M, Plewig G. Acne and Rosacea. Berlin : Springer, 2000.
9. Shirakawa M, Uramoto K, Harada FA. Treatment of acne conglobata with infliximab. J Am Acad Dermatol 2006 Aug;55(2):344-6. [abstract]
10. Perez-Villa F, Campistol JM, Ferrando J, et al. Renal amyloidosis secondary to acne con- globata. Int J Dermatol 1989 Mar;28(2):132-3.
11. Oswald BJ, Hogan D, Mason SH. Pityrosporum folliculitis. eMedicine Last updated : May 17, 2006.
12. Meffert J, Fulton J. Lupus miliaris disseminatus faciei. eMedicine. Last updated February 7, 2007.
13. Uesugi Y, Aiba S, Usuba M, Tagami H. Oral prednisone in the treatment of acne agminata. Br J Dermatol 1996 Jun;134(6):1098-100.
14. Horenstein MG, Shea CR. Syringoma. eMedicine. Last updated : May 23, 2007.
15. Nambi R. Tuberous sclerosis. eMedicine. Last updated : March 19, 2007.
ประวิตร พิศาลบุตร พ.บ., เกียรตินิยมอันดับหนึ่ง
Diplomate, American Board of Dermatology
Diplomate, American Subspecialty Board of Dermatological Immunology,
Diagnstic and Laboratory Immunology
อาจารย์พิเศษ, ภาควิชาเภสัชกรรม, คณะเภสัชศาสตร์,
จุฬาลงกรณ์มหาวิทยาลัย
- อ่าน 55,715 ครั้ง
พิมพ์หน้านี้



