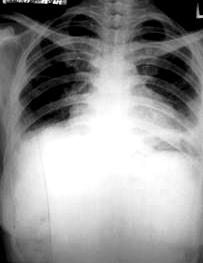
ภาพที่ 1. ภาพฉายรังสีทรวงอก เมื่อวันที่ 7 ธันวาคม พ.ศ. 2548
ที่โรงพยาบาลชุมชน พบว่ามีเยื่อหุ้มปอดหนากว่าปกติ
และมีน้ำในช่องเยื่อหุ้มปอด.
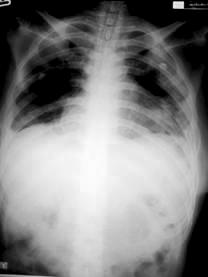
ภาพที่ 2. ภาพฉายรังสีทรวงอก เมื่อวันที่ 23 มกราคม พ.ศ. 2549
ที่โรงพยาบาลสระบุรี ภายหลังการใส่ท่อช่วยหายใจ 1 วัน
พบว่ามี interstitial infiltration และน้ำในช่องเยื่อหุ้มปอดมากกว่าเดิม.
ในฐานะที่เป็นผู้ปฏิบัติงานเกี่ยวข้องกับสุขภาพคนทำงาน เมื่อเดือนพฤษภาคมเวียนมาถึง ทำให้ต้องคิดอีกครั้งว่าการกำหนดให้มีวันแรงงานแห่งชาติในวันที่ 1 พฤษภาคม และการกำหนดให้วันที่ 10 พฤษภาคม เป็นวันที่ระลึกเหตุการณ์โรงงานตุ๊กตาเคเดอร์ไฟไหม้คลอกคนงาน 188 คน และถือว่าเป็นวันเริ่มงาน "สัปดาห์ความปลอดภัยแห่งชาติ" ของทุกปีนั้น ได้ทำให้แรงงานไทยมีส่วนร่วม (กับฝ่ายนายจ้าง ภาครัฐและนักวิชาการ) ในการตัดสินใจด้านสุขภาพและความปลอดภัยของตนเองหรือไม่ และที่สำคัญสามารถจะดูแลตนเองได้เพียงใด.
อาชีวเวชศาสตร์ปริทัศน์ฉบับนี้ จะยังคงนำเสนอบทความชุดเพื่อให้ท่านผู้อ่านได้ "เห็นภาพ" มากขึ้นว่าแพทย์อาชีวเวชศาสตร์หรือที่เรียกกันย่อๆ ว่า "แพทย์ Occ Med" นั้น ต้องหาช่องทางในการทำงานกันอย่างไรบ้างในบริบทที่ไม่มีข้อมูลจากอดีตช่วยในการวินิจฉัยหาสาเหตุการเจ็บป่วยว่าเกิดจากการทำงานหรือไม่ โดยจะนำเสนอรายงานของเรือโทนายแพทย์อติพงษ์ สุจิรัตน์ แพทย์ประจำบ้านสาขาอาชีวเวชศาสตร์ ในการค้นหาสาเหตุการ เจ็บป่วยของผู้ป่วยรายหนึ่ง.
บทนำ
กลางเดือนมกราคม พ.ศ. 2549 แพทย์ประจำสำนักโรคจากการประกอบอาชีพและสิ่งแวดล้อมกรมควบคุมโรค ได้รับแจ้งจากนายแพทย์นพดล รุ่งศรีทอง แพทย์เฉพาะทางโรคทรวงอก โรงพยาบาลศูนย์สระบุรี ว่ามีผู้ป่วยหญิงรายหนึ่ง มีอาการหายใจลำบากมากขึ้นเรื่อยๆ (progressive dyspnea) นอนรับการรักษาที่ห้องผู้ป่วยวิกฤต และมีลักษณะทางพยาธิสภาพที่น่าสนใจอันไม่ค่อยได้พบบ่อยนัก โดยเฉพาะน่าสงสัยว่าอาการป่วยของผู้ป่วยรายนี้ อาจจะเกิดจากการทำงานได้ เนื่องจากมีประวัติทำงานในโรงงานปลากระป๋องมาก่อน. ทีมแพทย์ประจำบ้านอาชีวเวชศาสตร์จึงได้เข้าทำการซักประวัติและตรวจร่างกายผู้ป่วยเมื่อวันที่ 24 มกราคม พ.ศ. 2549.
การตรวจผู้ป่วย
ผู้ป่วยหญิงไทย อายุ 33 ปี ภูมิลำเนาจังหวัดสระบุรี ปัจจุบันอาชีพขายก๋วยเตี๋ยวในโรงเรียนมา 8 ปี แต่เคยทำงานในโรงงานปลากระป๋อง เมื่อประมาณ 16 ปีก่อน.
ผู้ป่วยเริ่มมีอาการไอมีเสมหะ หอบ เหนื่อยง่ายเมื่อประมาณ 4 เดือนก่อน นั่งเฉยๆ ก็เหนื่อย หายใจไม่สุด ไม่มีไข้ ไม่เจ็บแน่นหน้าอก ไม่มีอาการแขนขาบวม ระยะแรกผู้ป่วยไปรักษาที่โรงพยาบาลชุมชน อาการไม่ดีขึ้น และมีอาการเหนื่อยมากขึ้นเรื่อยๆ จนต้องนอนรับการรักษาในโรงพยาบาลชุมชน. ผลตรวจทางภาพฉายรังสีทรวงอก พบว่าเยื่อหุ้มปอดมีลักษณะผิดปกติ (มีภาวะหนาตัวขึ้น), มีน้ำคั่งในช่องเยื่อหุ้มปอด และปอดขยายตัวน้อยกว่าปกติ (pulmonary restrictive), ผลการทำ echocardiogram พบว่ามีน้ำคั่งในช่องเยื่อหุ้มหัวใจ (pericardial effusion) และพบว่ามีลิ้นหัวใจรั่วเล็กน้อย แต่การทำงานของ หัวในอยู่ในสภาพปกติ.
หลังจากที่ผู้ป่วยรับการรักษาที่โรงพยาบาลชุมชนได้ไม่นาน เกิดภาวะติดเชื้อในปอดแทรกซ้อน ทำให้มีอาการหอบเหนื่อยมากขึ้น จึงต้องใส่ท่อช่วยหายใจ และส่งมารักษาต่อที่โรงพยาบาลศูนย์สระบุรี เมื่อวันที่ 25 ธันวาคม พ.ศ. 2548 ซึ่งหลังจากนั้น ผู้ป่วยก็รับการรักษาอยู่ในหอผู้ป่วยวิกฤตมาตลอด.
ในวันที่ทีมสอบสวนโรคได้ไปพบผู้ป่วย ผู้ป่วยยังใช้เครื่องช่วยหายใจอยู่ รู้สึกตัวดี และหายใจเข้ากับเครื่องได้ดี ไม่มีไข้ ถามตอบรู้เรื่อง (ใช้การเขียนแทนการตอบคำถาม) ไม่มีภาวะซีด ตัวไม่เหลือง แต่อ่อนเพลียเล็กน้อย ฟังเสียงหายใจจากการตรวจปอดพบว่า มีเสียง secretion sound เล็กน้อยที่ปอดทั้ง 2 ข้าง, ฟังเสียงหัวใจ ตรวจหน้าท้อง แขนและขา ไม่พบลักษณะผิดปกติ.
การวินิจฉัยและรักษา
จากการสอบถามแพทย์เจ้าของไข้ (นายแพทย์นพดล) และแพทย์ประจำบ้านสาขาอายุรศาสตร์ด้านโรคเลือดที่ปฏิบัติงานประจำหอผู้ป่วยวิกฤต จึงได้ทราบว่า ในช่วงเริ่มแรกที่เข้ารับการรักษาที่โรงพยาบาลศูนย์สระบุรีนั้น ได้เริ่มรักษาในด้านการติดเชื้อของปอดก่อน ซึ่งพบว่าเสมหะผู้ป่วยเคยเพาะเชื้อพบว่าขึ้น H. Influenza. แต่ในปัจจุบันอาการติดเชื้อของผู้ป่วยได้รับการรักษาจนอาการดีขึ้นมากแล้ว และไม่พบว่ามีเชื้อในการเพาะเชื้อที่เสมหะอีก แต่สาเหตุที่ผู้ป่วยยังไม่สามารถที่จะหยุดการใช้เครื่องช่วยหายใจได้ เนื่องจากปอดของผู้ป่วยมีภาวะ restrictive มาก ร่วมกับมีน้ำคั่งอยู่ในช่องเยื่อหุ้มปอดอีกด้วย
สำหรับการวินิจฉัยหาสาเหตุที่แท้จริงของอาการป่วยในขณะนี้นั้น ยังรอการประชุมหาข้อสรุปของทางคณะแพทย์ร่วมการรักษาอยู่ โดยแพทย์บางท่านตั้งข้อสงสัยว่าผู้ป่วยอาจเป็นโรคมะเร็งต่อมน้ำเหลือง (lymphoma) แต่พยาธิสภาพยังไม่ชัดเจนนัก และยังไม่ได้ทำการตรวจชิ้นเนื้อต่อมน้ำเหลือง (lymph node biopsy). นอกจากนี้ก็อาจจะมีสาเหตุจากโรคมะเร็งปอดได้เช่นกัน แต่ก็ยังไม่เห็นรอยโรคที่ชัดเจนจากภาพถ่ายรังสี. สำหรับโรคที่เกี่ยวเนื่องกับภูมิคุ้มกัน เช่น autoimmune ต่างๆนั้น ผลการตรวจทางห้องปฏิบัติการ ก็ไม่พบความผิดปกติ และผลการตรวจหาเชื้อโรควัณโรค (sputum culture, pulmonary effusion culture) ก็ไม่พบเชื้อ.
การวางแผนในการวินิจฉัย และการรักษาในผู้ป่วยรายนี้ นายแพทย์นพดลได้วางแผนไว้ว่าจะถ่ายภาพทรวงอกตัดขวางด้วยคอมพิวเตอร์ (CT chest) เพื่อตรวจดูพยาธิสภาพของเยื่อหุ้มปอดและเนื้อปอดด้วย ซึ่งการถ่ายภาพรังสีธรรมดาอาจมองไม่เห็น. นอกจากนี้อาจจะจำเป็นต้องทำการตัดชิ้นเนื้อเยื่อหุ้มปอดไปตรวจ (plural biopsy) ร่วม แต่ทั้งนี้ก็ต้องรอให้การหายใจของผู้ป่วยอยู่ในเกณฑ์ที่ดีก่อน เพราะรังสีแพทย์แนะนำว่าควรให้ผู้ป่วยสามารถหยุดการใช้เครื่องช่วยหายใจและกลั้นหายใจเองได้ก่อน จึงจะได้รับประโยชน์จากการทำ CT chest อย่างเต็มที่.
ประวัติอาชีพ
ในตอนแรกทีมสอบสวนโรคไม่ทราบถึงลักษณะอาการของผู้ป่วย และลักษณะอาชีพที่แท้จริงของผู้ป่วย ทราบแต่ข้อมูลเบื้องต้นเพียงว่า ผู้ป่วยทำหน้าที่ใส่ปลาลงในกระป๋องก่อนบรรจุอัด จึงเกิดความสงสัยว่าการทำงานในโรงงานปลากระป๋องจะทำให้เกิดโรคปอดได้อย่างไร.
แต่เมื่อได้ซักประวัติจากตัวผู้ป่วยเอง ก็ได้ทราบรายละเอียดในการทำงานของผู้ป่วยว่า ผู้ป่วยเริ่มทำงานเมื่อตอนอายุ 17 ปี (16 ปีก่อน) ที่โรงงานปลากระป๋องแห่งหนึ่งในเขตบางขุนเทียน กรุงเทพมหานคร แผนกที่ผู้ป่วยทำงานในช่วงแรก คือ แผนกผลิต ทำหน้าที่ขูดเกล็ดปลา (5 ปี) ต่อมาอยู่แผนกแพคกิ้ง ทำหน้าที่บรรจุปลาใส่กระป๋อง (3 ปี) หลังจากนั้นจึงได้ทำงานอยู่แผนก QC แพคกิ้ง ซึ่งมีหน้าที่ตรวจสอบบรรจุภัณฑ์ ขูดสนิมออกจากกระป๋อง และนอกจากนี้ยังมีหน้าที่ในการผสมสารละลายที่ใช้ในการเคลือบกระป๋องที่ใช้ในการบรรจุปลากระป๋องอีกด้วย โดยผู้ป่วยผู้ผสมสารละลายตัวนี้เอง แล้วแจกจ่ายให้ลูกน้องเป็นผู้ทาเคลือบกระป๋องอีกทีหนึ่ง.
สารเคมีที่ใช้ในการผสมสารละลายผู้ป่วยบอกว่ามีอลูมิเนียม, อลูมิไนซ์สีทอง, แล็กเกอร์, ทินเนอร์ (ไม่ทราบอัตราส่วนที่ชัดเจน) ซึ่งความถี่ในการผสมสารละลายชนิดนี้ จะไม่ผสมสารทุกวันขึ้นกับปริมาณกระป๋องที่เข้ามาในโรงงาน. ในวันที่มีการผสม ผู้ป่วยจะผสมประมาณ 3 ครั้งต่อวัน ครั้งละประมาณ 10 นาที และขณะที่ผสมสารละลาย ผู้ป่วยไม่เคยใช้หน้ากากหรือเครื่องป้องกันใดๆ ผู้ป่วยทำงานอยู่ในแผนกนี้ประมาณ 8 ปี จึงออกจากงาน โดยสาเหตุที่ออกจากงานผู้ป่วยให้เหตุผลว่าเบื่อ ไม่ได้มีอาการหอบเหนื่อย.
หลังออกจากงาน ผู้ป่วยกลับมาที่บ้านเกิด (จังหวัดลพบุรี) โดยช่วยมารดาขายก๋วยเตี๋ยวที่ร้านอาหารในโรงเรียน เป็นเวลา 8 ปี โดยลูกชิ้นหรือส่วนประกอบอาหารอื่นๆ ผู้ป่วยไม่ได้เป็นผู้เตรียมเอง แต่รับมาจากที่อื่น แล้วทำหน้าที่ประกอบอาหารอย่างเดียว. ผู้ป่วยปฏิเสธประวัติสัมผัสสารเคมีอื่นๆ ปฏิเสธการสูบบุหรี่ แต่พ่อของผู้ป่วยสูบยาเส้นตั้งแต่เด็กๆ และบ้านของผู้ป่วยไม่ติดกับโรงงานอุตสาหกรรม.
หลังจากที่ได้ข้อมูลการประกอบอาชีพจากตัวของผู้ป่วยเอง ทีมสอบสวนได้ตั้งข้อสงสัยว่า สารละลายที่ผู้ป่วยผสมระหว่างที่ทำงานในโรงงานกระป๋อง อาจจะมีส่วนผสมที่ทำให้ผู้ป่วยมีความเสี่ยงที่จะเกิดโรคปอดในลักษณะนี้ได้หรือไม่ ซึ่งสารที่น่าสงสัยมากที่สุดก็น่าจะเป็นสารอลูมิเนียม เนื่องจากสารอื่นๆ นั้นมีผู้ใช้อย่างแพร่หลายอยู่แล้วทั้งแล็กเกอร์ และทินเนอร์ ส่วนสารอลูมิไนซ์สีทองนั้นทางทีมสอบสวนยังไม่สามารถหาชื่อทางเคมีที่แท้จริงได้ เพราะที่ผู้ป่วยบอกน่าจะเป็นภาษาเรียกทั่วไปมากกว่า. ดังนั้นทางทีมสอบสวนจึงมุ่งหาข้อมูล และรายละเอียดเกี่ยวกับสารอลูมิเนียม รวมทั้งโอกาสในการก่อโรคทางเดินหายใจ.
อลูมิเนียม
จากการค้นข้อมูล พบว่าการหายใจผงฝุ่นอลูมิเนียม (aluminium containing dusts and fumes) มีโอกาสทำให้เกิด pulmonary fibrosis ได้ เช่น Shaver' s disease ซึ่งเป็น severe pneumoconiosis ที่มักพบได้ในผู้ป่วยที่ทำงานโรงงานที่มีการมีการขัดสารอลูมิเนียม (alumina abrasive). ลักษณะทางพยาธิสภาพของผู้ป่วยโรคนี้ มักมีความผิดปกติที่ปอดส่วนบน อาจเกิด pneumothorax ร่วมด้วยได้. ส่วนพยาธิสภาพอื่นๆ นั้น ก็มักพบ blebs, bulle และ pleural thickening.1
นอกจากนี้ยังเคยมีรายงานว่าผู้ป่วยที่สัมผัส oxides และ metallic aluminium ทำให้เกิด granulomatous lung disease ซึ่งมีผลจากการภาวะการเปลี่ยนแปลง (transformation) ของ lymphocyte ซึ่งภาวะดังกล่าวน่าจะเกี่ยวข้องกับปัจจัยทางภูมิคุ้มกัน (immunology) ร่วมด้วย.1
จากการศึกษาอื่นพบว่าผู้ป่วยที่สัมผัส oxides ของอลูมิเนียมปริมาณมากกว่า 100 mg/m3 เป็นเวลามากกว่า 20 ปี สามารถทำให้เกิด pulmonary alteration ได้ ซึ่งในระยะแรกผู้ป่วยจะมีภาวะ restrictive pulmonary function changes. ภาพฉายรังสีจะพบ small, scanty, irregular opacities ที่ฐานปอด ซึ่งลักษณะเช่นนี้เกิดจากการสะสมของ dust ใน lung parenchyma.2
International Agency for Research on Cancer (IARC) ได้จัดให้การทำงานในโรงงานที่เกี่ยวข้อง กับการผลิตอลูมิเนียม (aluminium production) เป็นการลักษณะการทำงาน (exposure circumstance) ที่อยู่ใน Group 1 (definite human carcinogen) โดยถือเป็นสารก่อมะเร็งปอด3 นั่นคือ เป็นการสัมผัส สารหลายชนิดในการทำงาน แต่ไม่ใช่การสัมผัสอลูมิเนียมโดยตรงเพียงอย่างเดียว.
ข้อมูลทั้งหมดที่กล่าวมาแล้ว ช่วยสนับสนุนว่า ผู้ป่วยรายนี้มีโอกาสที่จะเกิดโรคจากการประกอบอาชีพ ได้ เพราะการสัมผัสสารอลูมิเนียมนั้นทำให้เกิดโรคปอดที่มีพยาธิสภาพใกล้เคียงกับของผู้ป่วยได้. อย่างไรก็ตาม ทีมสอบสวนยังไม่สามารถสรุปได้ว่าผู้ป่วยเกิดโรคนี้จากการสัมผัสสารอลูมิเนียมจริง เนื่องจากยังไม่สามารถนำสารที่ผู้ป่วยสัมผัสมาตรวจสอบได้ว่าเป็นอลูมิเนียมหรือไม่ อย่างไร รวมทั้งยังขาดข้อมูลจากการเข้าสำรวจสถานประกอบการ, การสังเกตลักษณะการทำงานที่ผู้ป่วยทำ, การตรวจวัดระดับอลูมิเนียมในสิ่งแวดล้อม และการหาหลักฐานทางวิชาการอื่นๆ มาเป็นข้อสนับสนุนเพิ่มเติม.
สรุป
แม้ว่าทีมสอบสวนยังไม่ได้ข้อสรุปที่ชัดเจนเกี่ยวกับสาเหตุโรคปอดของผู้ป่วยรายนี้ และยังต้องรอการวินิจฉัยโรคจากทางคณะแพทย์ที่ทำการรักษาผู้ป่วยที่โรงพยาบาลศูนย์สระบุรี แต่อย่างน้อยทีมสอบสวนก็ได้ข้อมูลบางอย่างที่อาจจะเชื่อมโยงระหว่างสาเหตุของโรค และการทำงานของผู้ป่วยได้. โดยสิ่งที่ต้องวางแผนในการทำงานต่อไปคือ การเข้าสำรวจสถานประกอบการที่ผู้ป่วยเคยทำงานอยู่ และสังเกตวิธีการทำงานในแผนกต่างๆ ว่ามีลักษณะการทำงานที่มีโอกาสเสี่ยงต่อการสัมผัสสารอลูมิเนียมหรือไม่ ทั้งนี้ยังมีอุปสรรคที่สำคัญ คือ ผู้ป่วยได้ลาออกจากงาน มานานแล้ว (8 ปี) ซึ่ง ณ ปัจจุบันยังไม่ทราบว่าสถานประกอบการดังกล่าวยังมีอยู่หรือไม่ และถ้ายังทำการอยู่ ลักษณะการทำงานของแผนกต่างๆ ที่ผู้ป่วยเคยทำนั้นก็อาจเปลี่ยนไปจากลักษณะการทำงานแบบเดิม.
ปิดท้าย
ผู้ป่วยรายนี้ได้เสียชีวิตเมื่อกลางเดือนกุมภาพันธ์ พ.ศ. 2549 หรือประมาณ 3 สัปดาห์หลังจากทีมสอบสวนได้ทำการซักประวัติและตรวจร่างกายผู้ป่วย โดยผู้ป่วยมีอาการหอบเหนื่อยเพิ่มขึ้นเรื่อยๆ (severe progressive dyspnea) และมีอาการไข้สูง ทั้งนี้ก่อนเสียชีวิต ผู้ป่วยยังไม่ได้รับการทำ lymph node biopsy, CT chest และ plural biopsy รวมทั้งไม่ได้รับการผ่าศพตรวจอวัยวะ (autopsy) อีกด้วย.
กรณีศึกษาของผู้ป่วยรายนี้ ช่วยสะท้อนให้เห็นว่า การวินิจฉัยแยกโรคทำได้ยาก จนแม้ผู้ป่วยเสียชีวิตไปแล้วก็ยังไม่อาจหาข้อสรุปได้. ส่วนการวินิจฉัยแยกสาเหตุการป่วยนั้น แม้จะมีประวัติการทำงานที่ชัดเจนในระดับหนึ่ง แต่การที่ผู้ป่วยเจ็บป่วยหลังหยุดทำงานเป็นเวลานานถึง 8 ปี ก็ทำให้ยากต่อการค้นหาสถานประกอบการเพื่อค้นหาลักษณะการทำงานของผู้ป่วย. นอกจากนั้น พระราชบัญญัติคุ้มครองแรงงานในขณะนั้น ยังไม่ได้ระบุชัดเจนให้นายจ้างทำการตรวจสุขภาพพนักงานก่อนลาออกจากงาน และไม่ได้ระบุให้นายจ้างเก็บประวัติสุขภาพพนักงานหลังลาออกจากงานไว้ ทำให้ไม่มีข้อมูลที่จะช่วยในการวินิจฉัย และถึงแม้ในปัจจุบันนี้ กฎหมายระบุให้นายจ้างเก็บผลการตรวจสุขภาพพนักงานหลังออกจากงานไว้เป็นเวลา 2 ปี ก็ไม่เพียงพอที่จะช่วยในการวินิจฉัยแยกสาเหตุ.
อย่างไรก็ตาม ผู้ป่วยรายนี้ ได้ช่วยทำให้แพทย์เฉพาะทางได้ทำงานร่วมกับแพทย์อาชีวเวชศาสตร์ และถ้าหากวันหนึ่งประเทศไทยมีระบบการดูแลสุขภาพ คนทำงานอย่างมีประสิทธิภาพแล้ว กรณีผู้ป่วยรายนี้ แม้จะไม่สามารถให้การวินิจฉัยแยกโรคและแยกสาเหตุได้ แต่ก็จะเป็น "ยอดภูเขาน้ำแข็ง" ที่ทำให้เจ้าหน้าที่ภาครัฐที่เกี่ยวข้องจากกระทรวงแรงงานและกระทรวงสาธารณสุขต้องเข้าตรวจสอบโรงงานผลิตปลากระป๋องลักษณะเดียวกับที่ผู้ป่วยเคยทำงาน เพื่อประเมินว่าอาจมีพนักงานที่เสี่ยงต่อการป่วยด้วยโรคปอดในระยะยาวเช่นผู้ป่วยหรือไม่ และหากพบว่ามี จะได้ทำการลดความเสี่ยง ด้วยการปรับเปลี่ยนสภาพแวดล้อมการทำงาน และเฝ้าระวังสุขภาพต่อไป.
ขอให้วิญญาณของผู้ป่วยรายนี้ไปสู่สุคติและหวังว่าเธอจะช่วยทำให้ประเทศไทยได้มีระบบการดูแล สุขภาพพนักงานที่ดีในอนาคตอันใกล้นี้เทอญ.
เอกสารอ้างอิง
1. Petsonk EL, Short SR. Respiratory System : The Variety of Pneumoconioses. In : David A, Wagner GR, chapter eds. Encyclopaedia of Occupational Health and Safety, ILO, Geneva, 4th ed. (on CD-ROM).
2. Nordberg G, chapter ed. Metal : Chemical Properties and Toxicity. Encyclopaedia of Occupational Health and Safety, ILO, Geneva, 4th ed. (on CD-ROM).
3. Weiderpass E, Boffetta B. Respiratory Cancer. In : David A, Wagner GR, chapter eds. Encyclopaedia of Occupational Health and Safety, ILO, Geneva, 4th ed. (on CD-ROM).
อติพงษ์ สุจิรัตน์ พ.บ., เรือโท,
แพทย์ประจำบ้านอาชีวเวชศาสตร์
โรงพยาบาลจุฬาลงกรณ์
ฉันทนา ผดุงทศ พ.บ.
DrPH in Occupational Health, สำนักโรคจากการประกอบอาชีพและสิ่งแวดล้อม, กรมควบคุมโรค, กระทรวงสาธารณสุข E-mail address : [email protected]
- อ่าน 12,106 ครั้ง
พิมพ์หน้านี้



