การผ่าตัดด้วยคลื่นความถี่วิทยุ (Radiofrequency Ablation) หรือ RFA เป็นหนึ่งในวิธีการผ่าตัดโดยใช้ความร้อน (thermal ablation) เพื่อกำจัดหรือทำลายการทำงานของเนื้อเยื่อเป้าหมาย ในปัจจุบัน RFA กำลังได้รับความสนใจมากขึ้นเรื่อยๆ ทั้งในประเทศสหรัฐอเมริกาและประเทศในกลุ่มยุโรปโดยเป็นทางเลือกหนึ่งในการกำจัดเนื้อเยื่อมะเร็ง และในการแก้ไขภาวะหัวใจเต้นผิดปกติ (cardiac arrhythmia).

(ก)
(ข)
ภาพที่ 1. ในการผ่าตัดด้วยคลื่นวิทยุ อิเล็กโทรดจะถูกสอดเข้าไปที่จุดที่ต้องการผ่านทางผิวหนัง (หรือสวนเข้าทางหลอดเลือด) เนื้อเยื่อเป้าหมายจะถูกทำลายด้วยความร้อนที่เกิดจากพลังงานจากคลื่นวิทยุที่บริเวณปลายของสายสวน (ก) เมื่อใช้อิเล็กโทรดแบบธรรมดา9 และ (ข) เมื่อใช้อิเล็กโทรดแบบกางได้.10
ภาพที่ 2. อิเล็กโทรดทั้งแบบขั้วเดียวและแบบสองขั้วในรูปแบบต่างๆ กันเพื่อความเหมาะสมในการใช้งานที่แตกต่างกัน.11
หลักการทำงานของ RFA
คลื่นความถี่วิทยุใน RFA เกิดจากพลังงานไฟฟ้าที่ความถี่สูงประมาณ 500 kHz ถึง 1 MHz ส่งผ่านบริเวณปลายของอิเล็กโทรดที่สัมผัสอยู่กับเนื้อเยื่อที่ต้องการทำลาย ส่งผลให้ไอออนภายในเซลล์ที่สัมผัสกับอิเล็กโทรดเกิดการสั่นไปมา (agitation) และเกิดความร้อนจากการเสียดสี หรือ frictional heat ทำให้เซลล์นั้นๆ มีอุณหภูมิสูงขึ้นและเมื่ออุณหภูมิของเซลล์สูงถึงประมาณ 45 ถึง 50 องศาเซลเซียส โปรตีนที่จำเป็นต่อการมีชีวิตของเซลล์นั้นๆ จะแปลงสภาพ (denature) และเยื่อหุ้มเซลล์จะถูกทำลายเนื่องจากการหลอมละลายของไขมันที่ห่อหุ้มเซลล์ (lipid bilayer) สำหรับเซลล์ที่อยู่ถัดไปจากจุดที่สัมผัสกับอิเล็กโทรดก็จะมีอุณหภูมิสูงขึ้นด้วยโดยกระบวนการนำความร้อนจากเซลล์ที่สัมผัสกับอิเล็กโทรดโดยตรง ภาพที่ 1 แสดงขั้นตอนการทำงานของ RFA.
อิเล็กโทรดที่ใช้งานใน RFA นี้แบ่งได้เป็น 2 ประเภทคือ 1) อิเล็กโทรดแบบขั้วเดียว (monopolar electrode) และ 2) อิเล็กโทรดแบบสองขั้ว (bipolar electrode) ทั้ง 2 ประเภทยังแบ่งออกได้อีกหลายชนิดย่อยดังภาพที่ 2.
ในการผ่าตัดด้วย RFA รังสีแพทย์จะใช้เอกซเรย์ อัลตราซาวนด์ ซีทีสแกนหรือเอ็มอาร์ไอ ในการหาตำแหน่งที่ชัดเจนของเป้าหมายและช่วยให้แพทย์สามารถมองเห็นขั้นตอนในการรักษาได้ตลอดเวลา โดยไม่ต้องมีการผ่าตัดเปิดช่องอกหรือช่องท้อง.
สำหรับขนาดของรอยแผลจากการผ่าตัดด้วย วิธีนี้จะขึ้นอยู่กับปัจจัยหลายประการเช่น 1) คุณสมบัติการนำความร้อนของเนื้อเยื่อนั้นๆ 2) คุณสมบัติการ พาความร้อนของเลือดที่ไหลผ่านบริเวณนั้นๆ 3) เวลา และกำลังงานที่ใช้ในการผ่าตัด 4) คุณสมบัติอื่นๆ ของเนื้อเยื่อและของเลือดในบริเวณที่มีการผ่าตัด 5) อิเล็กโทรดที่เลือกใช้และสภาพการสัมผัสของอิเล็กโทรดกับเนื้อเยื่อว่ามีความลึกเท่าไรและมีมุมในการสัมผัสเป็นอย่างไร ภาพที่ 3 แสดงรอยแผลที่เกิดจากการใช้ RFA.
ภาพที่ 3. รอยแผลที่เกิดจากการใช้คลื่นความถี่วิทยุในการทำลายเนื้อเยื่อปรากฏเป็นสีขาว.
(ก) (ข)
ภาพที่ 4. อุปกรณ์ที่ใช้ในการผ่าตัดด้วยคลื่นความถี่วิทยุสำหรับการแก้ไขความผิดปกติของจังหวะ
การเต้นของหัวใจ
(ก) อิเล็กโทรดรุ่น 7F ขนาด 4 มม.
(ข) เครื่องกำเนิดไฟฟ้าคลื่นความถี่วิทยุ.
การใช้ RFA แก้ไขภาวะหัวใจเต้นผิดปกติ
การรักษาด้วย RFA สามารถทำได้โดยไม่ต้องมีการผ่าตัดเปิดช่องอก แต่ใช้อิเล็กโทรดแบบสายสวน (radiofrequency catheter electrode) สอดเข้าไปในหัวใจผ่านทางหลอดเลือดแดงบริเวณต้นขา (femoral vein) หรือหลอดเลือดดำใต้ไหปลาร้า (subclavian vein) หรือหลอดเลือดดำบริเวณลำคอ (jugular vein) แล้วจึงปล่อยพลังงานความถี่คลื่น วิทยุที่ออกทางปลายอิเล็กโทรดเพื่อทำลายเนื้อเยื่อเป้าหมายทำให้เกิดเป็นรอยแผลเป็นที่ผนังหัวใจซึ่งเป็นการตัดเส้นทางการเดินที่ผิดปกติของกระแสไฟฟ้าได้ ภาพที่ 4 แสดงอุปกรณ์ที่ใช้ในการผ่าตัดด้วย RFA เพื่อแก้ไขความผิดปกติของจังหวะการเต้น ของหัวใจ และภาพที่ 5 แสดงภาพการแก้ไขจังหวะการเต้นของหัวใจผิดปกติใช้อิเล็กโทรดสายสวน.
ด้วยวิธีการนี้ เนื่องจากไม่ต้องมีการผ่าตัดเปิดหน้าอก ทำให้มีความเสี่ยงในการติดเชื้อต่ำ มีการสูญเสียเลือดน้อย ใช้เวลาในการพักฟื้นในโรงพยาบาลหลังการผ่าตัดน้อยมาก อีกทั้งยังมีประสิทธิภาพในการรักษาทัดเทียมกับวิธี Maze operation ซึ่งนิยมใช้ในปัจจุบัน.
สำหรับผลของการใช้ RFA ในการแก้ไขความผิดปกติของจังหวะการเต้นของหัวใจนั้น ในกรณีของ PSVT แบบ fast pathway มีอัตราความสำเร็จในระยะยาว (long term success rate) อยู่ที่ประมาณ 82-96% มีอัตราการเกิดซ้ำ (recurrence rate) ประมาณ 5-14% มีการเกิด AV block แบบขั้นสูงที่ประมาณ 0-10% ส่วนกรณีของ PSVT แบบ slow pathway มีอัตราความสำเร็จในระยะยาวอยู่ที่ประมาณ 98-100% มีอัตราการเกิดซ้ำประมาณ 0-2% มีการเกิด AV block แบบขั้นสูงที่ประมาณ 0-1.3% ส่วนในกรณีของ AF มีอัตราความสำเร็จในระยะยาวอยู่ที่ประมาณ 98-100% มีอัตราการเสียชีวิตหลังจากการผ่าตัดที่ประมาณ 1-2 % เนื่องจากโรคหัวใจที่เป็นอยู่ ไม่ได้เกิดจากขั้นตอนการผ่าตัด ส่วนในกรณีของ VT มีอัตราความสำเร็จในระยะยาวอยู่ที่ประมาณ 85-100%.5
ภาพที่ 5. การรักษาโรคหัวใจบางประเภทโดยการผ่าตัดด้วยคลื่นความถี่วิทยุ
(ก) เครื่องมือที่ใช้ในการผ่าตัดด้วยคลื่นความถี่วิทยุในการแก้ไขความผิดปกติ
ของจังหวะการเต้นของหัวใจ
(ข) สายสวนจะถูกสอดเข้าไปในหัวใจและพลังงานความถี่คลื่นวิทยุที่ปล่อยออก
จากปลายอิเล็กโทรดจะทำลายเนื้อเยื่อที่ผิดปกติ ทำให้กิจกรรมทางไฟฟ้า
ของเนื้อเยื่อหัวใจกลับมาทำงานตามปกติ.
การใช้ RFA ในการทำลายเนื้อเยื่อมะเร็งในอวัยวะต่างๆ
วิธีการทำลายเนื้อเยื่อมะเร็งด้วย RFA นั้น เริ่มจากการหาตำแหน่งที่แน่นอนของเนื้อเยื่อมะเร็ง จากนั้นจึงสอดอิเล็กโทรดผ่านทางผิวหนังโดยให้ปลายของ อิเล็กโทรดอยู่ในตำแหน่งของเนื้อเยื่อมะเร็ง จากนั้น จึงปล่อยกระแสไฟฟ้าความถี่สูงเพื่อทำลายเนื้อเยื่อบริเวณนั้น ภาพที่ 6 แสดงอุปกรณ์ที่
ภาพที่ 6. อิเล็กโทรดสำหรับการผ่าตัดด้วยคลื่นความถี่วิทยุสำหรับการทำลายเซลล์มะเร็งในตับ ปอด หรือในอวัยวะอื่นๆ.12
ใช้ในการทำลายเนื้อเยื่อมะเร็งด้วยการผ่าตัดดวย RFA หากเนื้อเยื่อมะเร็งมีขนาดใหญ่ ศัลยแพทย์สามารถเลือกที่จะใช้อิเล็กโทรดแบบกางได้ (ทั้งแบบขั้วเดียวและสองขั้ว) หรือเลือกใช้อิเล็กโทรดมากกว่า 1 ชิ้น ในการทำลายเนื้อเยื่อมะเร็งนี้ ขนาดของเนื้อเยื่อมะเร็งที่ถูกทำลายด้วย RFA นั้นจะมีขนาดไม่เกิน 15 ลบ.ซม. เมื่อใช้อิเล็กโทรดสองขั้วแบบกางได้ และจะมีขนาดไม่เกิน 8 ลบ.ซม. เมื่อใช้อิเล็กโทรดขั้วเดียวแบบกางได้.6
วิธีการนี้จะนิยมใช้ในการทำลายมะเร็งที่ตับ ทั้งแบบปฐมภูมิและแบบทุติยภูมิ โดยวิธีการนี้จะมีข้อดีกว่าการผ่าตัดแบบเดิมที่ใช้การเฉือนก้อนมะเร็งออกไปที่วิธีการนี้จะมีทำลายเนื้อเยื่อดีที่อยู่ในบริเวณใกล้เคียงในปริมาณที่น้อยมาก และถ้าเนื้อเยื่อบริเวณนั้นกลับมาเป็นมะเร็งอีกก็สามารถใช้วิธีการนี้ในการทำลายเนื้อเยื่อมะเร็งใหม่ซ้ำได้อีก นอกจากนี้ยังมีการสูญเสียเลือดที่น้อย มีรอยเปิดของแผลที่มีขนาดเล็กมาก ทำให้ใช้เวลาในการพักฟื้นสั้นไม่ต้องพักที่โรงพยาบาลนาน มีความเสี่ยงในการติดเชื้อที่น้อย มาก มีอัตราการกลับเป็นซ้ำของเนื้องอก (tumor recurrence rate) ที่ต่ำ (ประมาณ 1.8%7) และ อัตราการเกิดภาวะแทรกซ้อน (rate of complication) ที่ต่ำ (ประมาณ 3.6%) และเป็นภาวะแทรกซ้อนที่ไม่รุนแรง8 โดยอาการแทรกซ้อนนั้นได้แก่ การเป็นฝีที่ตับ (abscess) เลือดออก ปอดแฟบ (collapse of lung) หัวใจเต้นผิดจังหวะ และมีรอยไหม้ที่ผิวหนัง ภาพที่ 7 แสดงภาพเนื้อร้ายที่ตับก่อนและหลังจากใช้การรักษาด้วย RFA.
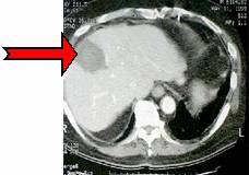
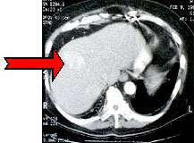
(ก) (ข)
ภาพที่ 7. เนื้อร้ายที่ตับก่อนและหลังจากใช้การรักษาด้วยคลื่นวิทยุ
(ก) เนื้อร้าย (tumor) ก่อนการรักษา
(ข) เนื้อร้ายที่ถูกทำลายด้วยคลื่นวิทยุ จะพบว่ามีขนาดใหญ่กว่าและสีเข้มกว่าเนื้อร้ายที่ยังไม่ถูกทำลาย แต่เมื่อเวลาผ่านไป ขนาดของเนื้อร้ายที่ตายแล้วนี้จะหดลงเพราะร่างกายจะดูดซึมและขับถ่ายเซลล์ที่ตายแล้วออกไป.9
นอกจากนี้ การผ่าตัดด้วย RFA ยังถูกใช้ในการรักษามะเร็งที่ต่อมลูกหมาก มะเร็งที่ไต มะเร็งที่ต่อมหมวกไต และมะเร็งที่ผิวหนังบางประเภทและเนื้องอกที่กระดูกบางประเภท เช่น Osteoid osteomaได้อีกด้วย.
สรุป
ในปัจจุบันการผ่าตัดด้วย RFA ได้รับการยอมรับจากองค์การอาหารและยาของประเทศสหรัฐอเมริกาหรือ FDA ในการใช้รักษามะเร็งที่ตับได้. นอกจากนี้ การผ่าตัดด้วย RFA กำลังกลายเป็นมาตรฐานในการรักษาภาวะจังหวะหัวใจเต้นผิดปกติบางชนิดและโรคเนื้องอกในตับที่ทำการผ่าตัดแบบเดิมไม่ได้ แต่สำหรับโรคมะเร็งและความผิดปกติในอวัยวะอื่นๆ นั้น แม้ในปัจจุบันจะมีแนวโน้มที่จะนำการผ่าตัดด้วย RFA มาใช้ในการรักษาเพิ่มมากขึ้น แต่ก็ยังอยู่ในขั้นตอนการวิจัยทดลอง ยังไม่สามารถใช้เป็นมาตรฐานในการรักษาได้.
เอกสารอ้างอิง
1. Krishnamurthy VN, Casillas VJ, Latorre L. Radiofrequency Ablation of Hepatic Lesions : A Review.Appl Radiol 2003;32 (10): 11-26.
2. dArsonval MA. Action physiologique des courants alternatifs. CR Soc Biol 1891;43: 283-6.
3. McGahan JP, Dodd GD III. Radiofrequency ablation of liver. AJR Am J Roentgenol 2001;176:3-16.
4. Rossi S, Fornari F, Paties C, Buscarini L. Thermal lesions induced by 480-KHz localized current field in guinea pig and in pig livers. Tumori 1990;76:54-7.
5. Wood AJJ. Radio-Frequency Ablation As Treatment For Cardiac Arrhythmias. New Eng J Med 1999;340:534-44.
6. Haemmerich D, Staelin ST, Tungjitkusolmun S, Lee FT, Mahvi DM, Webster JG. Hepatic Bipolar Radio-Frequency Ablation Between Saparated Multiprong Electrodes. IEEE Trans Biomed Eng 2001;48:1145-52.
7. Curley SA, Izzo F, Delrio P, Ellis LM, Granchi J, Vallone P, Fiore F, Pignata S, Daniele B, Cremona F. Radiofrequency ablation of unresectable primary and metastatic hepatic malignancies : results in 123 patients. Ann Surg 1999;230(1):1-8.
8. http://www.surgery.usc.edu/divisions/hep/radiofrequencyablation.html<
9. http://www.sirweb.org/patPub/radio-frequencyAblation.shtml<
10. http://www.geocities.com/rfacancer/<
11. http://www.springerlink.com/content/lke2vcm08qv4b9k3/fulltext.html<
12. http://www.radiologyinfo.org/en/photocat/photos_pc.cfm?image=ri-rfa-gen<. jpg& pg=rfabackground.html
13. http://www.cc.nih.gov/drd/rfa/frame-back< ground.html
ดร.ชัญชนา ตั้งวงศ์ศานต์
ภาควิชาวิศวกรรมไฟฟ้า
คณะวิศวกรรมศาสตร์
จุฬาลงกรณ์มหาวิทยาลัย
- อ่าน 38,294 ครั้ง
พิมพ์หน้านี้



