
รายที่ 1
หญิงไทยคู่ อายุ 36 ปี มีอาการเป็นผื่นแดง-ดำที่ง่ามนิ้วมือขวา (ภาพที่ 1) มา 4 วัน. ผื่นมีอาการแสบระคายเล็กน้อย ไม่คัน และมีผื่นจุดแดง-ดำเล็กลามกระจายที่หลังมือในช่วง 2-3 วันนี้ ไม่มีอาการคันหรือระคายเคืองใดๆ ผู้ป่วยมีอาชีพแม่บ้าน. เมื่อ 5 วันก่อนไปช่วยงานโรงเรียนลูกโดยออกร้านขายยำทะเล ใช้มือขวาทำอาหารและบีบมะนาวส่วนมือซ้ายถือช้อนคลุกอาหาร. ตรวจร่างกายพบผื่นแดง-ดำขอบเขตไม่ชัดเจนที่ง่ามนิ้วมือขวาและมีผื่น จุดแดงเล็กๆกระจายที่หลังมือขวา.
คำถาม
1. จงให้การวินิจฉัยโรค.
2. จงให้การวินิจฉัยแยกโรค.
3. จงให้การรักษา.

รายที่ 2
หญิงอายุ 41 ปี ทราบว่าติดเชื้อเอชไอวีมา 6 ปี รับการรักษาด้วยยาต้านไวรัสมาหลายสูตรจากโรงพยาบาลจังหวัด ผลการตรวจนับปริมาณ CD4 ในเลือดครั้งหลังสุด 1 เดือนก่อนได้ 846 เซลล์/ไมโครลิตร ปัจจุบันผู้ป่วยสังเกตพบแผลที่รอบทวารหนักมา 1 เดือน มีน้ำเหลืองไหลซึมจากแผล (ภาพที่ 2) ไม่มีไข้ หลังการรักษาที่โรงพยาบาลจังหวัดโดยทำแผลทุกวัน อาการไม่ดีขึ้น ซ้ำร้ายแผลค่อยๆ กว้างขึ้นเรื่อยๆ.
คำถาม
1. ให้การวินิจฉัยแยกโรคเบื้องต้น.
2. บอกการจัดการเพื่อให้ได้การวินิจฉัย.

รายที่ 3
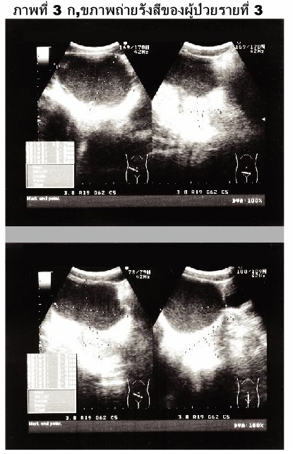
หญิงไทยโสดอายุ 20 ปี มีประวัติปวดประจำเดือนทุกเดือน อาการปวดเป็นมากขึ้นเรื่อยๆ จน ต้องกินยาแก้ปวดโดยเพิ่มปริมาณและชนิดของยามากขึ้น. การตรวจทางรังสีปรากฏลักษณะดังภาพที่ 3ก,ข.
คำถาม
1. ภาพที่เห็นคืออะไร.
2. จงบอกความผิดปกติที่เห็น.
3. จงให้การวินิจฉัยโรค.
4. จงให้การวินิจฉัยแยกโรค.
เฉลยปริศนาคลินิก
รายที่ 1
1. การวินิจฉัยคือ phytophotodermatitis ซึ่ง จัดอยู่ในกลุ่มโรคผื่นผิวหนังอักเสบระคายเคืองจาก สารเคมีสัมผัสร่วมกับแสงแดด (phototoxic contact dermatitis) ภาวะนี้เกิดจากสารเคมีหรือสารระคายเคืองเมื่อสัมผัสผิวหนังแล้วไปถูกแสงแดด สารนั้นจะทำปฏิกิริยากับแสงซึ่งส่วนใหญ่ (ร้อยละ 99) เป็นแสงช่วงคลื่น ultraviolet -A (UVA) ทำให้เกิดอาการระคายเคืองที่ผิวหนังโดยทฤษฎี จะใช้คำว่า phytophotodermatitis เมื่อสารต้นเหตุมาจากพืชเช่น มะนาว มะกรูด ส้ม ผักชี ผักชีฝรั่ง ซึ่งมีฤทธิ์ระคายเคืองต่ำ เมื่อถูกแสงแดดการเกิดปฏิกิริยาผิวหนังจะไม่รุนแรง โดยอาจเป็นเพียงเป็นรอยดำหรือแดง-ดำและอาจคันบ้าง. ส่วนใหญ่ผู้ป่วยมักมาด้วยอาการผื่นดำโดยที่ไม่แดงและไม่คันเลย อาการอาจพบต่อเนื่องในวันต่อมาเนื่องจากผิวหนังถูกสารในปริมาณที่ไม่เท่ากัน.
2. การวินิจฉัยแยกโรคต้องแยกจากผื่นผิวหนังระคายเคืองจากสาเหตุอื่นๆ และเชื้อราชนิด Candida.
3. การรักษาควรอธิบายสาเหตุให้ผู้ป่วยเข้าใจ เพื่อลดความกังวล. ยาที่ใช้รักษาอาจใช้ยาทากลุ่ม corticosteroid ทาวันละ 2-3 ครั้ง ถ้ามีอาการคันอาจให้ยากลุ่ม antihistamine ช่วยบรรเทา. โดยทั่วไปรอยคล้ำ ควรหายใน 1-2 สัปดาห์ ถ้าจางช้าอาจ ใช้เวชสำอาง กลุ่ม whitening ทาช่วยให้จางเร็วขึ้น.
รายที่ 2
1. รอยโรคที่พบในผู้ป่วยรายนี้เป็นลักษณะ mucocutaneous ulcer ที่มีขนาดใหญ่ มี fibrous exudates บริเวณรอบๆ แผล. ลักษณะรอยโรคเช่นนี้ในตำแหน่งรอบทวารหนัก โดยเฉพาะในผู้ป่วยติดเชื้อเอชไอวี บ่งชี้โรคในกลุ่มมะเร็ง เช่น มะเร็งทวารหนัก (anal cancer), squamous cell carcinoma หรือ lymphoma, โรคในกลุ่มหูดที่เกิดจากการติดเชื้อ papilloma virus มานาน เช่น condyloma accuminata, โรคติดต่อทางเพศสัมพันธ์ที่มาด้วยแผลแบบนี้ได้คือ syphilis หรือ chancroid เป็นต้น. ส่วน Kaposi sarcoma และ bacillary angiomatosis ซึ่งเป็นโรคที่พบบ่อยในผู้ป่วยโรคเอดส์ แต่ผู้ป่วยรายนี้ มีปริมาณ CD4 สูง จึงมีความเสี่ยงต่อทั้ง 2 โรคดังกล่าวน้อย นอกจากนี้ รอยโรคใน 2 โรคนี้มักจะเป็นแบบ vas- cular tumor และไม่มี exudates.
2. การตรวจชิ้นเนื้อจากบริเวณรอยโรค (biopsy) น่าจะให้ข้อมูลในการวินิจฉัยมากที่สุด แม้ว่าที่รอยโรคจะมีน้ำเหลืองออกมามากพอให้ตรวจได้. แต่การตรวจน้ำเหลืองในผู้ป่วยรายนี้มักจะไม่ได้ข้อมูล อะไร และหากพบแบคทีเรียจากการย้อมสีแกรม มักจะเป็นการติดเชื้อซ้ำเติม ไม่ใช่สาเหตุของรอยโรค. ผลการตรวจชิ้นเนื้อของผู้ป่วยรายนี้ ณ บริเวณแผล พบว่าเป็น malignant lymphoma.
รายที่ 3
1. Ultrasonogram ของช่องท้องส่วนล่าง.
2. เงาพยาธิสภาพคล้ายถุงน้ำในอุ้งเชิงกรานด้านขวาอยู่หน้ามดลูก.
3. ผลการตรวจทางรังสีร่วมกับประวัติ dysmenorrhea ที่รุนแรงขึ้นอย่างต่อเนื่องบ่งชี้ภาวะ endome-trioma.
4. เนื้องอกของรังไข่ชนิดเป็นถุงน้ำโดยอาจเป็น dermoid ในหญิงวัยสาว ซึ่งมักมีส่วนของไขมันหรือกระดูกร่วมด้วย แต่ในผู้ป่วยรายนี้ไม่มี.
สมนึก สังฆานุภาพ พ.บ.,ผู้ช่วยศาสตราจารย์, หน่วยโรคติดเชื้อ, ภาควิชาอายุรศาสตร์, คณะแพทยศาสตร์โรงพยาบาลรามาธิบดี,มหาวิทยาลัยมหิดล
จิโรจ สินธวานนท์ พ.บ.,ผู้อำนวยการสถาบันโรคผิวหนัง, กรมการแพทย์, กระทรวงสาธารณสุข
เจริญพิน เจนจิตรานันท์ พ.บ. อาจารย์พิเศษ, ภาควิชารังสีวิทยา, คณะแพทยศาสตร์โรงพยาบาลรามาธิบดี, มหาวิทยาลัยมหิดล
- อ่าน 9,090 ครั้ง
พิมพ์หน้านี้








