รายที่ 1
ชายอายุ 31 ปี เป็นโรคมะเร็งเม็ดเลือดขาว (leukemia) และรับยาเคมีบำบัด ครั้งสุดท้ายเมื่อ 3 สัปดาห์ก่อน. ผู้ป่วยมาพบด้วยอาการไข้ แก้มขวาบวมแดงมา 10 วัน ได้รับยา imipenem และ amikacin มา 7 วันอาการไม่ดีขึ้น ยังมีไข้สูง และปวด แก้มขวามากขึ้น เริ่มมีเลือดปนน้ำมูกไหลออกจาก รูจมูกขวา การตรวจร่างกายพบลักษณะใบหน้าดังภาพที่ 1.

คำถาม
1. การวินิจฉัยเบื้องต้น และเชื้อที่ก่อโรคที่น่าสงสัยคืออะไร.
2. แนวทางการจัดการเพื่อให้ได้การวินิจฉัยเป็นอย่างไร.

รายที่ 2
หญิงไทยคู่ อายุ 43 ปี มีตุ่มแดงกดเจ็บเล็กน้อย ไม่คัน กระจายบริเวณเข่า (ภาพที่ 2) และศอกทั้ง 2 ข้างมาประมาณ 8 เดือน จำนวนตุ่มแดงปรากฏมากขึ้นเรื่อยๆ. เมื่อเวลาผ่านไปตุ่มแดงนี้ตรงกลางกลายเป็นสะเก็ดดำ เมื่อสะเก็ดหลุดกลายเป็นแผลเป็นหลุมตื้นๆ.
การตรวจร่างกายพบตุ่มนูนแดงกดเจ็บเล็กน้อย รูปร่างกลมขนาดเส้นผ่าศูนย์กลางประมาณ 1-3 มม. กระจายที่เข่าและศอกทั้ง 2 ข้างพอๆ กัน. บางตุ่มมีสะเก็ดดำตรงกลาง (necrosis) บางตุ่มสะเก็ดหลุดเหลือรอยแผลเป็นหลุมตื้นๆ.
คำถาม
1. จงให้การวินิจฉัยโรค.
2. จงให้การวินิจฉัยแยกโรค.
3. ควรทำการตรวจทางห้องปฏิบัติการใดเพิ่มเติม.
4. จงให้การรักษา.

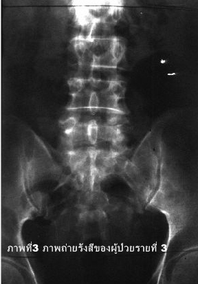
รายที่ 3
ชายอายุ 70 ปี รายงานว่าปวดหลังมากมานาน 2 เดือน. 1 เดือนก่อนมาโรงพยาบาลอาการปวด มากขึ้นโดยเฉพาะเวลากลางคืน. การตรวจภาพถ่ายทางรังสีปรากฏผลดังภาพที่ 3.
คำถาม
1. การตรวจที่เห็นคืออะไร.
2. บอกความผิดปกติที่เห็น.
3. จงให้การวินิจฉัยโรค.
4. จงให้การวินิจฉัยแยกโรค.
เฉลยปริศนาคลินิก
รายที่ 1
1. ลักษณะแก้มขวาบวมแดงในผู้ป่วยรายนี้ ทำให้สงสัยว่าน่าจะเป็นภาวะไซนัสอักเสบรุนแรง หากเกิดจากการติดเชื้อแบคทีเรียมักจะต้องรักษาด้วยยาต้านจุลชีพและการระบายหนองออก. การวินิจฉัยในเบื้องต้นสำหรับผู้ป่วยรายนี้จึงน่าจะเป็นภาวะ ไซนัสอักเสบรุนแรงโดยขาดการระบายหนอง และ/หรือเกิดจากการติดเชื้อของเชื้อจุลชีพที่ไม่ตอบสนอง ต่อยา imipenem และ amikacin ซึ่งปกติครอบคลุมเชื้อได้กว้าง. การที่ผู้ป่วยรายนี้มีภาวะภูมิคุ้มกันบกพร่องและมีเลือดปนน้ำมูกไหลออกจากโพรงจมูกด้านเดียวกัน ทำให้ต้องวินิจฉัยแยกโรคภาวะไซนัสอักเสบรุนแรงที่เกิดจากเชื้อรา (invasive fungal sinusitis) โดยเฉพาะ aspergillosis และ mucormycosis.
2. ควรส่งตรวจภาพถ่ายรังสีของไซนัส. การทำ CT scan ไซนัสอาจช่วยในการประเมินการลุกลาม (invasiveness) ของโรค. บางรายอาจมี venous sinus thrombosis ซึ่งเป็นภาวะแทรกซ้อนร่วมด้วย. ควรปรึกษาแพทย์หู คอ จมูก (ENT) เพื่อพิจารณาช่วยระบายหนองซึ่งเป็นทั้งการวินิจฉัยและการรักษา ส่งหนองย้อมสีแกรม Wright stain และ fungal stain และส่งเพาะเชื้อแบคทีเรียและเชื้อรา. รายนี้พบส่วนประกอบของเชื้อราจากหนองและผลการตรวจชิ้นเนื้อผลการเพาะเชื้อขึ้น Aspegillus fumigatus. ผู้ป่วยได้รับการรักษาด้วย amphotericin B และ liposomal amphotericin B ตามลำดับ จนอาการดีขึ้นและออกจากโรงพยาบาลได้.
รายที่ 2
1. การวินิจฉัยโรคคือ Papulonecrotic tuberculid (PNT) ซึ่งเป็นปฏิกิริยาต่อพิษของเชื้อ tubercle bacilli ชนิด M. tuberculosis หรือเชื้อวัณโรค. บริเวณรอยโรคส่วนใหญ่ไม่พบเชื้อใดๆ แต่อาจพบ การติดเชื้อที่อื่นๆ เช่นที่ปอด กระดูก ต่อมน้ำเหลือง เป็นต้น การทำ PCR จากรอยโรคอาจพบ DNA ของเชื้อได้.
2. การวินิจฉัยโรคต้องแยกจากโรค
2.1 Pityriasis lichenoides et vaeioli- formis acuta (PLEVA).
2.2 Leukocytoclastic vasculitis (LCV).
2.3 Secondary syphilis.
2.4 Prurigo.
2.5 Acne.
3. ควรตรวจทางห้องปฏิบัติการเพื่อหาตำแหน่งติดเชื้อ เช่น ภาพถ่ายรังสีทรวงอก, ตัดต่อมน้ำเหลืองตรวจหาร่องรอยการติดเชื้อถ้ามีข้อบ่งชี้ เช่น ต่อมน้ำเหลืองโตหรือหารอยโรคที่กระดูก ตับ ม้ามถ้ามี ข้อบ่งชี้ รวมทั้งการทำ tuberculin test ซึ่งจะให้ผลบวก.
4. การรักษา คือ การรักษาวัณโรค แม้จะหา พยาธิสภาพหลักไม่พบ แต่ tuberculin test ได้ผลบวก โดยให้ (INH 300 มก./วัน + RFP 600 มก./วัน + PZA 15-30 มก./กก./วัน mix.2gm. + ethambutol 15-25 มก./กก./วัน) ด 2 เดือน และต่อด้วย (INH + RFP) ด 4 เดือน.
รายที่ 3
1. Plain film KUB.
2. พยาธิสภาพชนิดย่อยสลาย (lytic) บริเวณส่วน pedicle ของกระดูกสันหลังระดับ L5 ด้านซ้าย.
3. มะเร็งแพร่กระจายมายังส่วน pedicle ของกระดูกสันหลังระดับ L5 ด้านซ้าย.
4. การติดเชื้อเช่นวัณโรคบริเวณดังกล่าว โดยอาการทางคลินิกมักประกอบด้วยอาการไข้และปวดตลอดเวลา.
สมนึก สังฆานุภาพ พ.บ. ผู้ช่วยศาสตราจารย์, หน่วยโรคติดเชื้อ, ภาควิชาอายุรศาสตร์, คณะแพทยศาสตร์โรงพยาบาลรามาธิบดี มหาวิทยาลัยมหิดล
จิโรจ สินธวานนท์ พ.บ. ผู้อำนวยการสถาบันโรคผิวหนัง, กรมการแพทย์, กระทรวงสาธารณสุข
เจริญพิน เจนจิตรานันท์ พ.บ. อาจารย์พิเศษ, ภาควิชารังสีวิทยา, คณะแพทยศาสตร์โรงพยาบาลรามาธิบดี, มหาวิทยาลัยมหิดล
- อ่าน 5,993 ครั้ง
พิมพ์หน้านี้








