รายที่ 1
ชายอายุ 62 ปี พบว่าเป็นโรคมะเร็งเม็ดเลือดขาว (leukemia) และรับยาเคมีบำบัด ครั้งสุดท้ายเมื่อ 10 วันก่อน. ผู้ป่วยมาด้วยอาการไข้สูง ซึมลง 1 วัน ให้ประวัติกินกั้งดิบดองเมื่อ 2 วันก่อน. ตรวจพบว่าผู้ป่วยมีความดันเลือดตกและมีรอยโรคที่ขาซ้ายดังภาพที่ 1.

คำถาม
1. จงให้การวินิจฉัยเบื้องต้น และบอกเชื้อที่ก่อโรค.
2. จงให้การรักษา.
รายที่ 2
ชายโสดอายุ 25 ปี สังเกตพบผื่นแดงลอกคันที่ต้นขาทั้ง 2 ข้างมา 1 ปี (ภาพที่ 2) ในระยะเวลานี้ผู้ป่วยใช้ยาแก้เชื้อราทาได้ผลว่าผื่นเป็นๆ หายๆและยังคันลอกอยู่. ระยะหลังใช้ครีม betametasone ทาปรากฏว่าอาการคันลอกดีขึ้น แต่ยังเป็นผื่นขุย แดง-ดำและมีขอบเป็นผื่นและตุ่มแดงลามออกช้าๆ ทั้งบริเวณต้นขาและท้องน้อยด้วย.การตรวจร่างกายพบ ผื่นแดง-ดำที่ต้นขาและขาหนีบ 2 ข้าง มีผื่นและตุ่มแดงกระจายประปรายส่วนใหญ่อยู่ที่ขอบของผื่นแดง-ดำมีรอยแกะเกาทั่วๆ ไปและมีรอยผิวแตก (striae) ที่ต้นขา.

คำถาม
1. จงให้การวินิจฉัย.
2. จงให้การวินิจฉัยแยกโรค.
3. จงให้การรักษา.
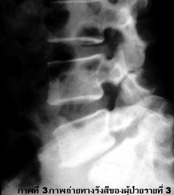
รายที่ 3
ชายไทยคู่อายุ 45 ปี รู้สึกปวดหลังมานาน 2 ปี ปวดมากขึ้นเรื่อยๆ โดยเฉพาะเวลายกของหนัก. ผู้ป่วยทำงานยกของหนัก. 1 เดือนมานี้อาการปวดรุนแรงมากขึ้นเรื่อยๆ. การตรวจทางรังสีปรากฏดังภาพที่ 3.

คำถาม
1. ภาพที่เห็นคือการตรวจอะไร.
2. จงบอกความผิดปกติที่เห็น.
3. จงให้การวินิจฉัยโรค.
4. การตรวจที่จะให้รายละเอียดกว่าสำหรับผู้ป่วยรายนี้คืออะไร.
เฉลยปริศนาคลินิก
รายที่ 1
1. ลักษณะรอยโรคในผู้ป่วยรายนี้ เป็นการ ติดเชื้อชั้นใต้ผิวหนังที่มี bleb หลายแห่งเกิดขึ้นเร็ว และมีความดันเลือดตก บ่งชี้ว่าน่าจะมีการติดเชื้อที่รุนแรง และน่าจะมีการติดเชื้อในกระแสเลือดร่วม ด้วย โดยเฉพาะอย่างยิ่งผู้ป่วยอยู่ในภาวะที่ได้รับยาเคมีบำบัด และมีประวัติกินอาหารทะเลที่ไม่สุก.การวินิจฉัยโรคเบื้องต้นในรายนี้คือ ภาวะติดเชื้อในกระแสเลือด (sepsis) จากเชื้อ Vibrio vulnificus.
2. โรคนี้มีการดำเนินโรคที่รวดเร็วและอัตราการตายสูง ถือเป็นภาวะที่เร่งด่วนมากควรทำการเพาะเชื้อจากเลือดและให้ยาต้านจุลชีพที่ครอบคลุมเชื้อที่สงสัยข้างต้น โดยใช้ยาในกลุ่ม third generation cepholosporins เช่น cefotaxime, ceftriaxone เป็นต้น หรือใช้ ciprofloxacin ร่วมกับ amikacin ถ้ามีแหล่งของการติดเชื้อ เช่น necrotizing fasciitis ควรได้รับการผ่าตัดเพื่อระบายหนองให้เร็วที่สุด.
รายที่ 2
1. การวินิจฉัยโรคคือ Tinea cruris หรือโรค กลาก (dermatophytosis) เป็นการติดเชื้อรากลุ่ม dermatophyte ซึ่งจะก่อโรคในส่วนของผิวหนังที่สร้าง keratin เท่านั้น จึงแสดงรอยโรคที่ผิวหนังชั้นขี้ไคล (stratum corneum) เส้นผมและเล็บได้.
ลักษณะผื่นที่พบบ่อยบนผิวหนังคือ เป็นวงขอบนูน แดง (annular lesion) ซึ่งจะลามเป็นขอบแดงขยายกว้างขึ้น ตรงกลางแบนราบลง หรืออาจพบลักษณะเป็นผื่นแดงมีขุย (papulosquamous lesion) หรือสะเก็ดหนาปกคลุม. ในกรณีนี้การใช้ยาฆ่าเชื้อราทาในระยะแรกเป็นการรักษาที่ถูกต้องแต่ผู้ป่วยหยุดยาเร็วเกินไปทำ ให้โรคกำเริบอีกและเมื่อใช้ยา corticosteroid ทาทำ ให้ไม่เห็นลักษณะ annular lesion ที่ชัดเจนแต่โรคกลับลุกลามมากขึ้น.
2. การวินิจฉัยแยกโรค ต้องแยกจาก 1) Se-borrheic dermatitis. 2) Candidiasis.
3. การรักษาคือ ให้ยาทา Whitfield ' s ointment หรือยากลุ่ม imidazole ได้แก่ clotrimazole, econazole, ketoconazole, miconazole ทาต่อเนื่องเป็นเวลาอย่างน้อย 4 สัปดาห์. ในกรณีที่โรคลุกลามเป็นบริเวณกว้างอาจใช้ยา griseofulvin (micronized) ชนิดกินขนาด 0.5-1 กรัม/วัน เป็นเวลา 4 สัปดาห์.ในกรณีที่ใช้ griseofulvin ไม่ได้อาจเลือกใช้ ketoconazole ชนิดกินขนาด 200 มก./วัน 2-4 สัปดาห์ หรือ itraconazole 200 มก. กินเช้า-เย็น 7 วัน หรือ terbinafine 250 มก./วัน 1-2 สัปดาห์. ในกรณีที่ผู้ป่วยยังใช้ยากลุ่ม corticosteroid อยู่นั้นการให้หยุดยาสตีรอยด์ และให้ยาฆ่าเชื้อราทันทีอาจมีปฏิกิริยาระคายเคืองรุนแรงได้. ดังนั้นอาจพิจารณาให้ยา corticosteroid ชนิด low potency ทาประกอบ วันละ 1-2 ครั้งในช่วง 1 สัปดาห์แรก ถ้าผู้ป่วยมีอาการคันมาก ควรให้กินยากลุ่ม antihistamine ร่วมด้วย. นอกจากนั้นต้องแนะนำผู้ป่วยในด้านการดูแลสุขลักษณะ ความสะอาดของตัวเองและเสื้อผ้าเครื่องใช้ต่างๆ ด้วย.
รายที่ 3
1. Plain film lateral L-S spinal.
2. Spondylolysis ของ L4, L5 ร่วมกับ spondylolisthesis ระดับที่ 1 บริเวณ L5 ต่อกับ S1 และหมอนรองกระดูก L5, S1ตีบแคบ.
3. Spinal canal stenosis จากภาวะ spondylolisthesis ระดับที่ 1 บริเวณ L5 ต่อ S1 ร่วมกับ spondylolysis ของ L5 และหมอนรองกระดูกระดับ L5, S1 แคบ.
4. MRI scan ของ L-S spines หรือ myelogram จะแสดงการกดของ roots และ canal อย่าง ชัดเจน และถ้าตรวจ myelogram อาจตรวจการถ่ายเทของ CSF โดยให้ผู้ป่วยงอและเหยียดหลังแล้ว ประเมินว่า spondylolysis และ spondylolisthesis ของกระดูกสันหลังเพิ่มขึ้นหรือลดลงหรือไม่ อันบ่งชี้ความมั่นคงของ spondylolisthesis.
จิโรจ สินธวานนท์ พ.บ., สถาบันโรคผิวหนัง, กรมการแพทย์, กระทรวงสาธารณสุข
เจริญพิน เจนจิตรานันท์ พ.บ.,อาจารย์พิเศษ, ภาควิชารังสีวิทยา, คณะแพทยศาสตร์โรงพยาบาลรามาธิบดี, มหาวิทยาลัยมหิดล
สมนึก สังฆานุภาพ พ.บ.,ผู้ช่วยศาสตราจารย์, หน่วยโรคติดเชื้อ, ภาควิชาอายุรศาสตร์, คณะแพทยศาสตร์โรงพยาบาลรามาธิบดี,มหาวิทยาลัยมหิดล
- อ่าน 12,812 ครั้ง
พิมพ์หน้านี้








